Basic Anatomy
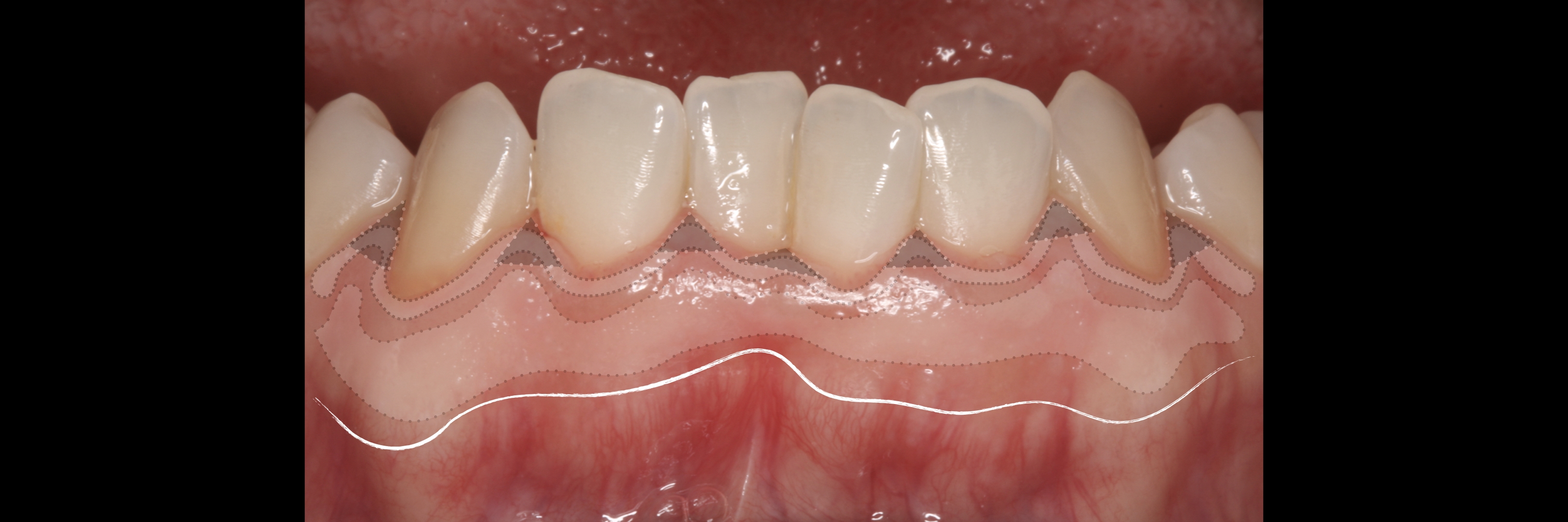
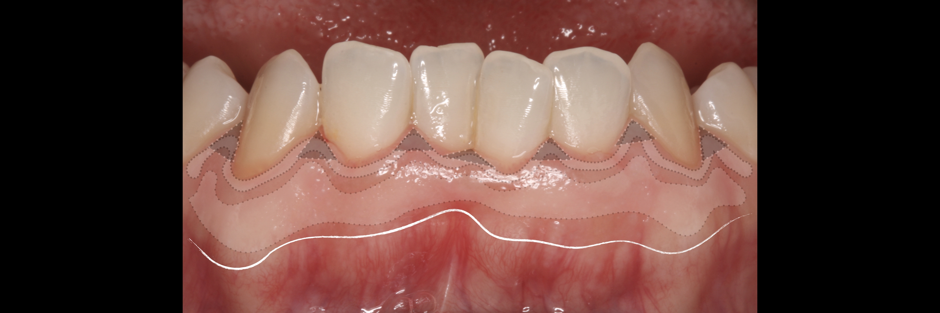
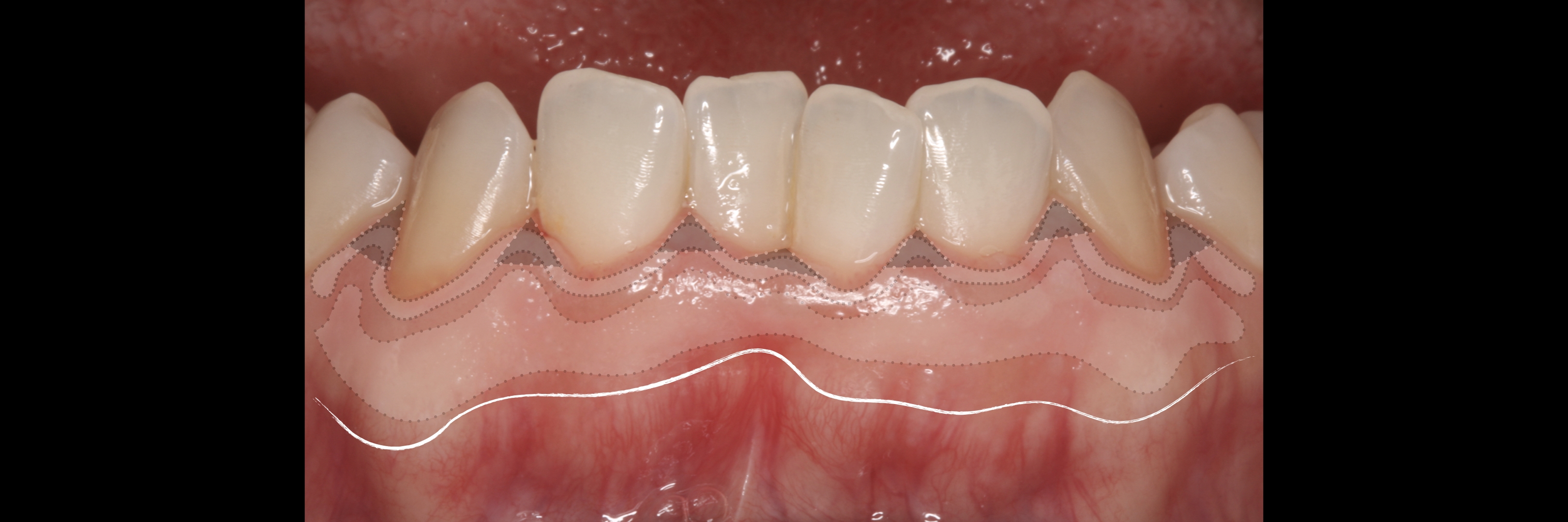
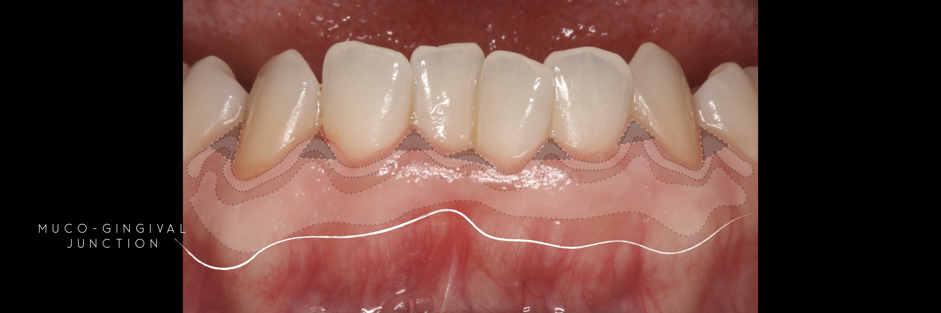
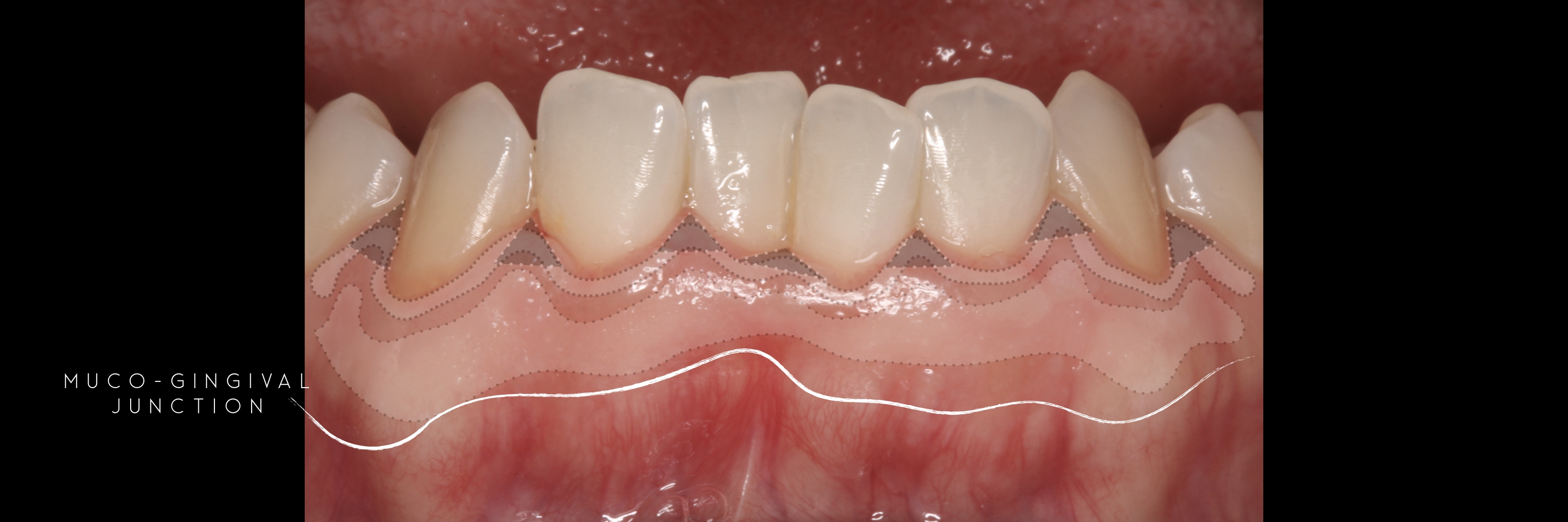
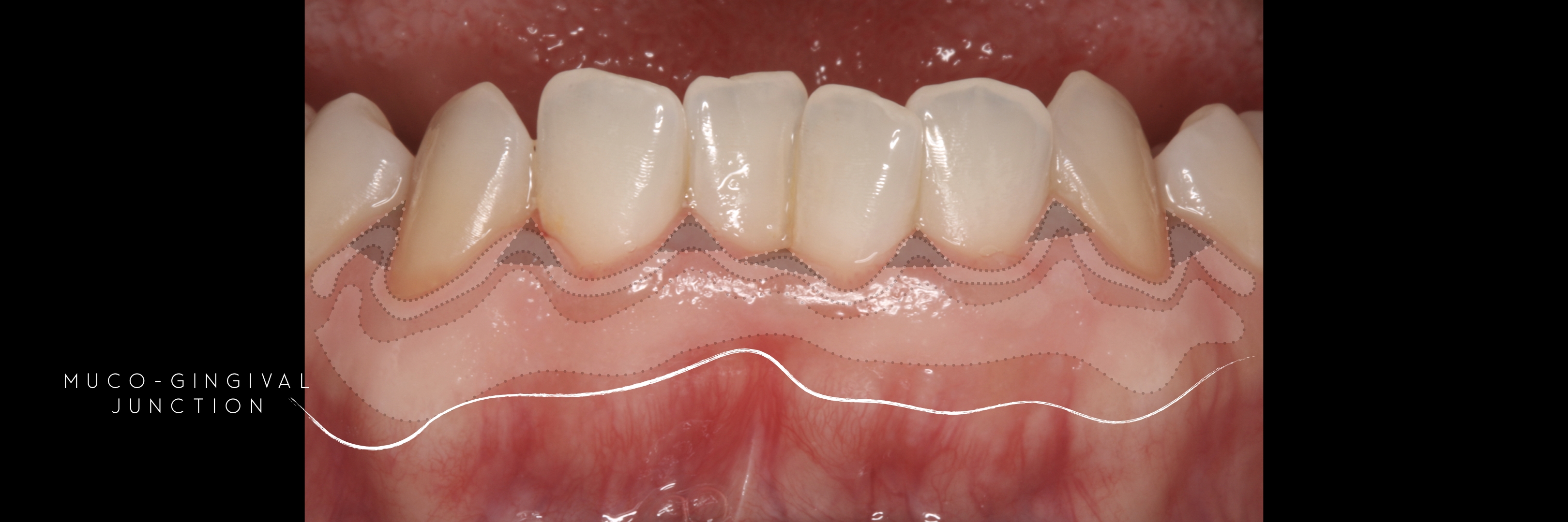
Alveolar Mucosa
Not Keratinized Gingiva _________________
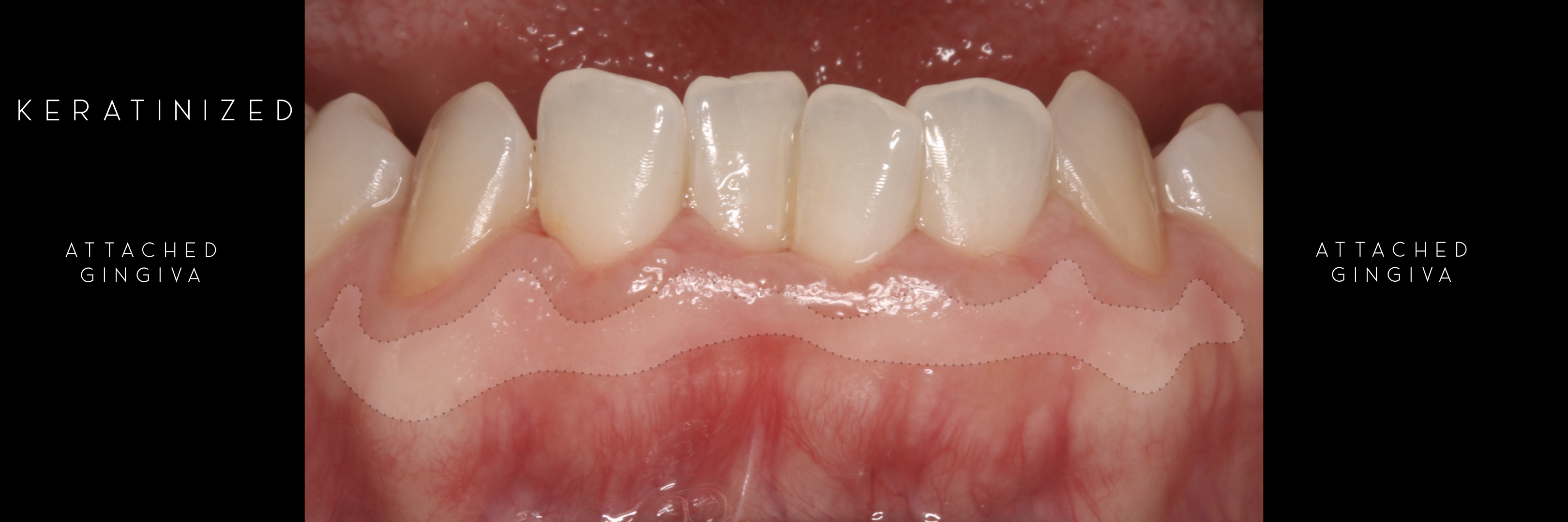
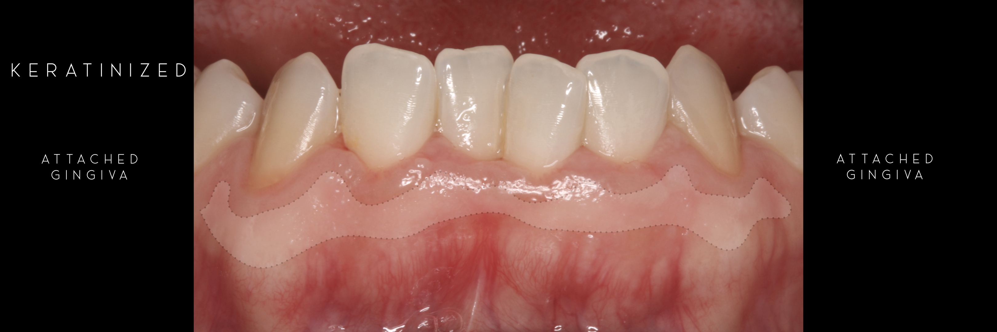
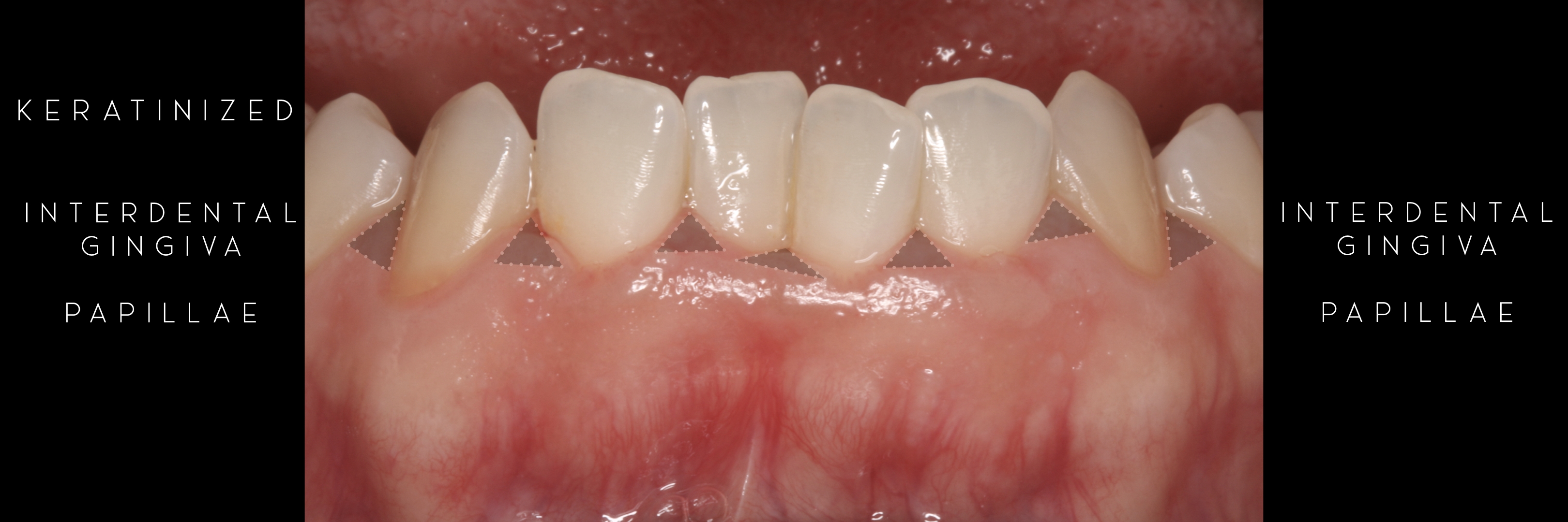
Attached Gingiva, Marginal Gingiva,
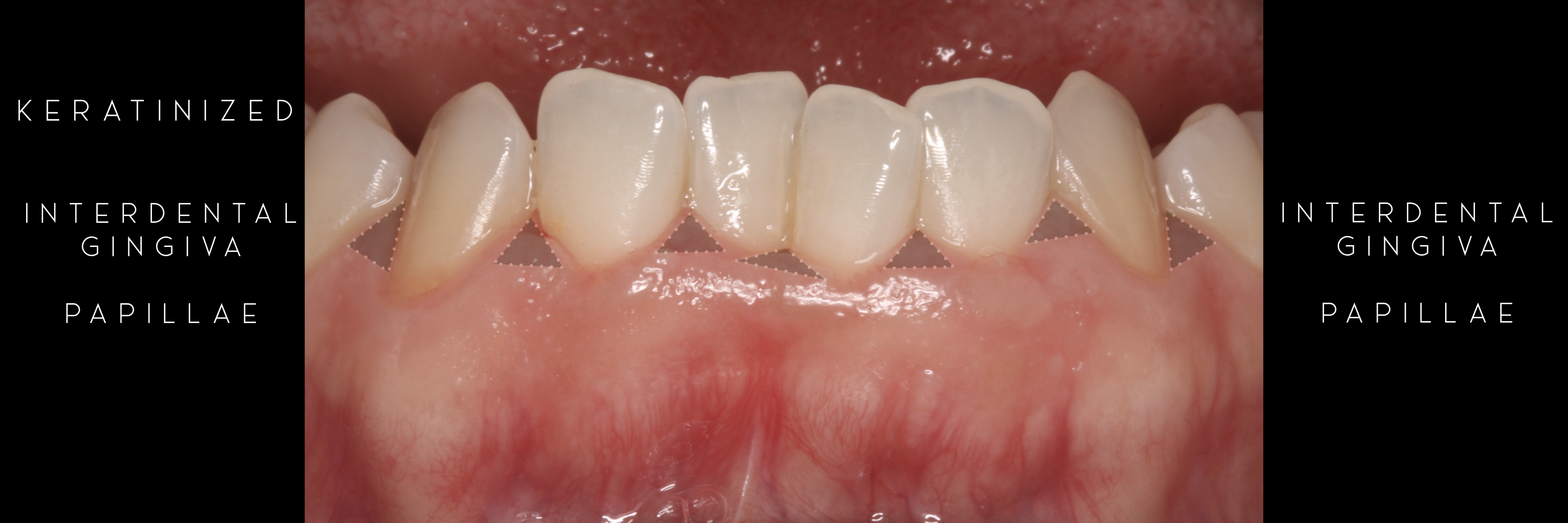
Interdental Gingiva
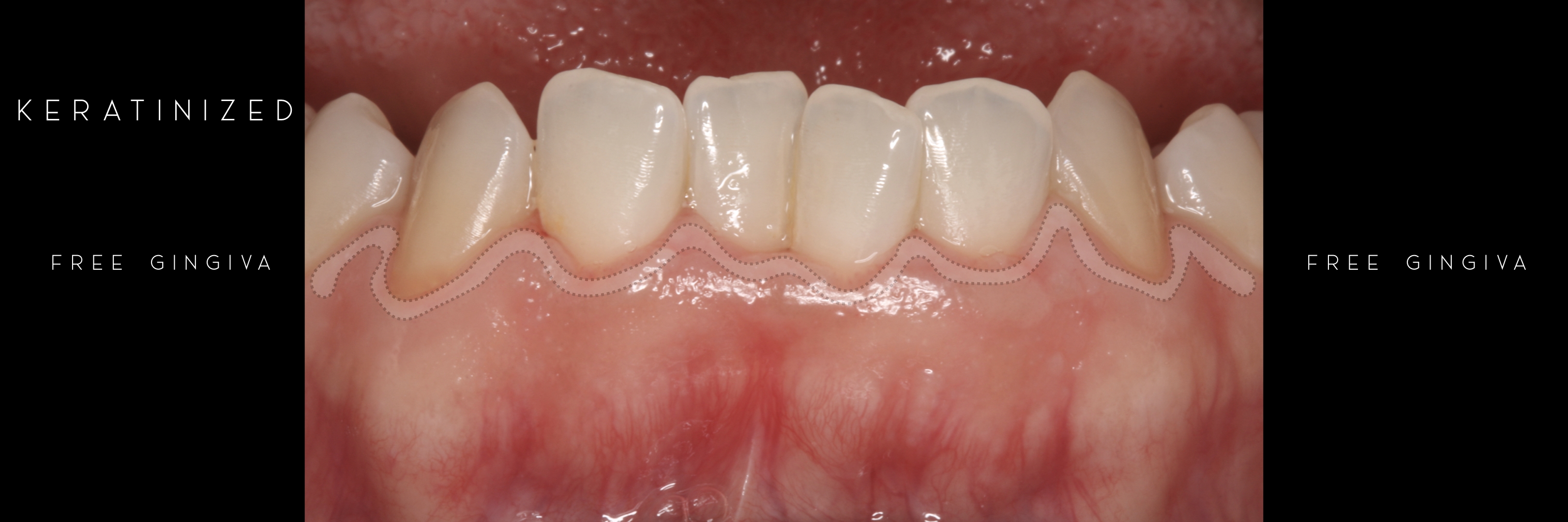
Keratinized Gingiva
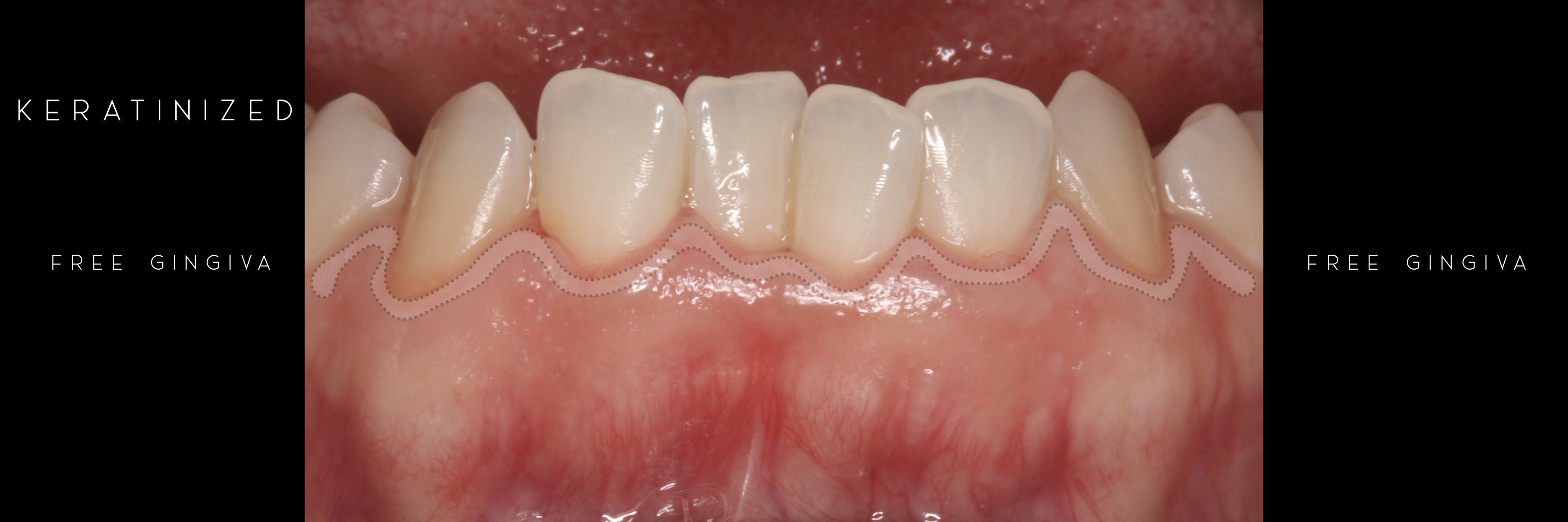
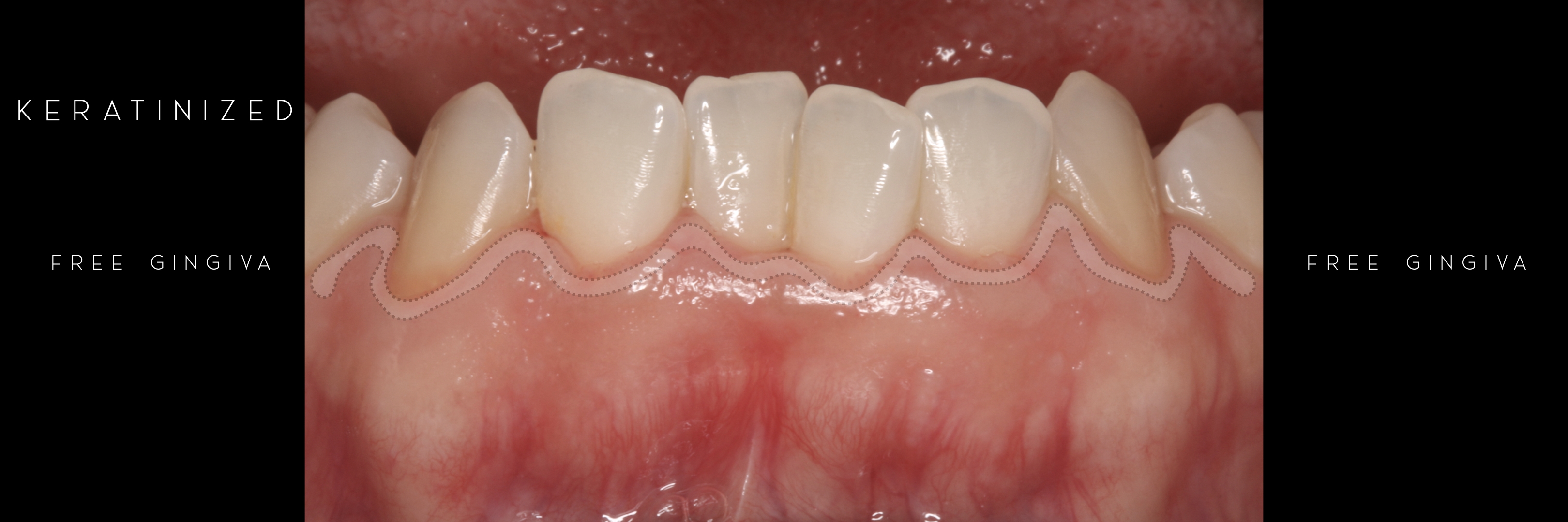
In humans KERATINIZED gingiva includes the free (marginal gingiva & papillae) and the attached gingiva extending from the gingival margin to the mucogingival junction.
Orban, B.: Clinical and histologic study of the surface characteristics of the gingiva. Oral Surg. 7:827-841, 1948.
Also keratinized is the hard palate mucosa.
Generally we tend to forget about these 2 parameters, free and the attached gingiva are both essential parts of the keratinized gingiva.
This meaning that keratinized (load bearing capacity) is a mechanical characteristic that makes up for attached gingiva, providing it's immobility, but also is of such importance as the thickness it provides around whatever perforates the epithelium, be it implants or teeth, being also keratinized (having load bearing capacity) at this location.
However free marginal gingiva is different in characteristics on its outer and inner surfaces: outer surface is keratinized; its inner surface is non-keratinized, constituting part of the gingival sulcus.
The width of the keratinized gingiva may vary between 1 and 9mm.
Bowers, G.: A study of the width of attached gin giva. J. Periodont. 54:201-209, 1963.
Ainamo, J. and Löe, H : Anatomical characteristics of gingiva. A clinical and microscopic study of the free and attached gingiva. J. Periodont. 57:5-13, 1966.
However, the question of how much gingiva is "adequate" has still not been investigated.
There was no answer at the time of Lang and Löe's paper -1972 - and still nowadays we still lack a final answer.







