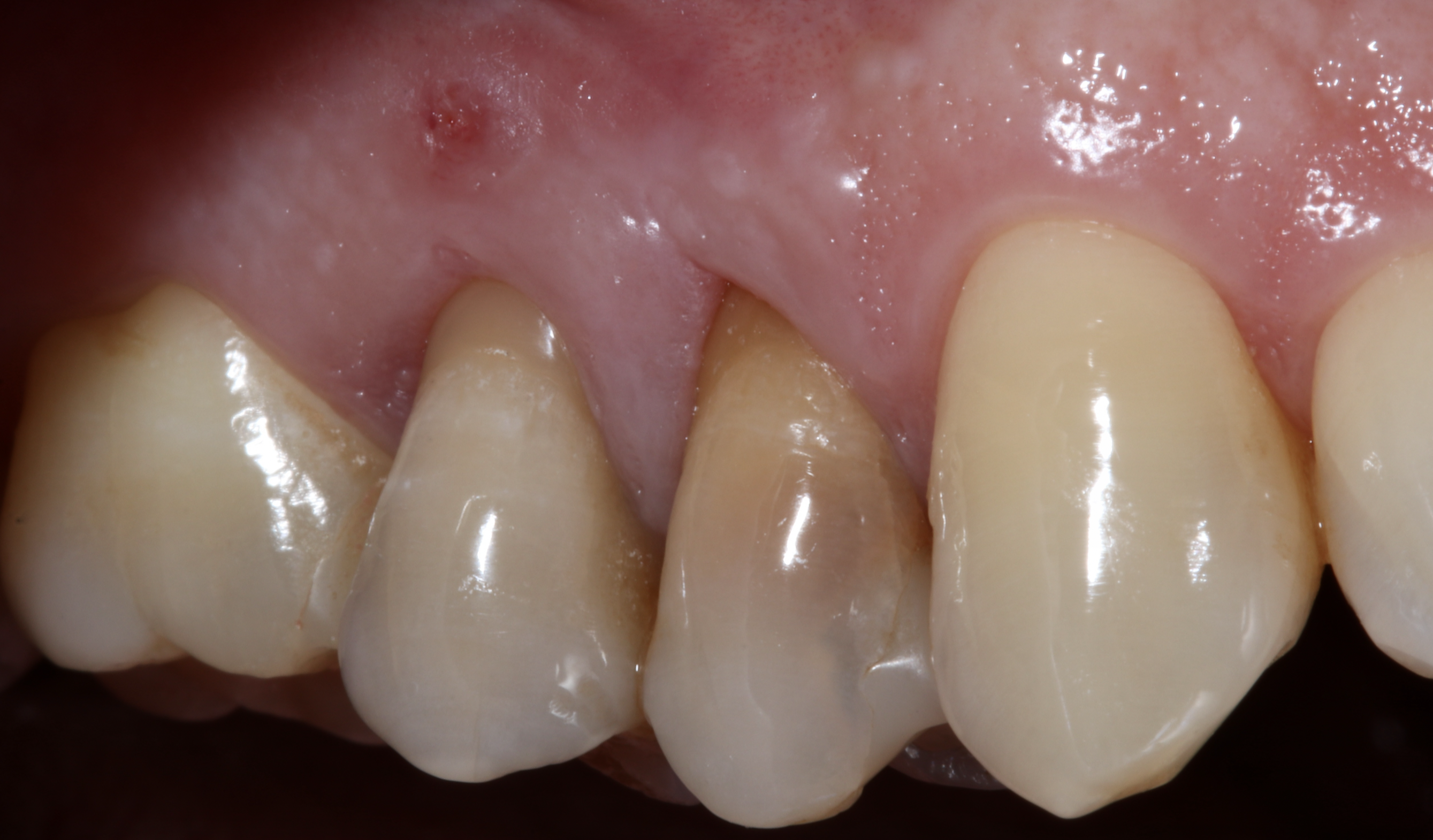
2 UPPER RIGHT BICUSPIDS
REVERSE PET
Conventional PET/Socket Shield though possible, would incur in the risk of loosening the root remnants (shields). They are intended to be maintained, when using this technique or any other PET (Partial Extraction Therapy) procedure.
