DENTAL XP Presentations & Notes to Live Surgery Course SARAJEVO
Filipe Lopes
  1. keratinized 1 palate.jpeg
    keratinized 2 teeth.jpeg
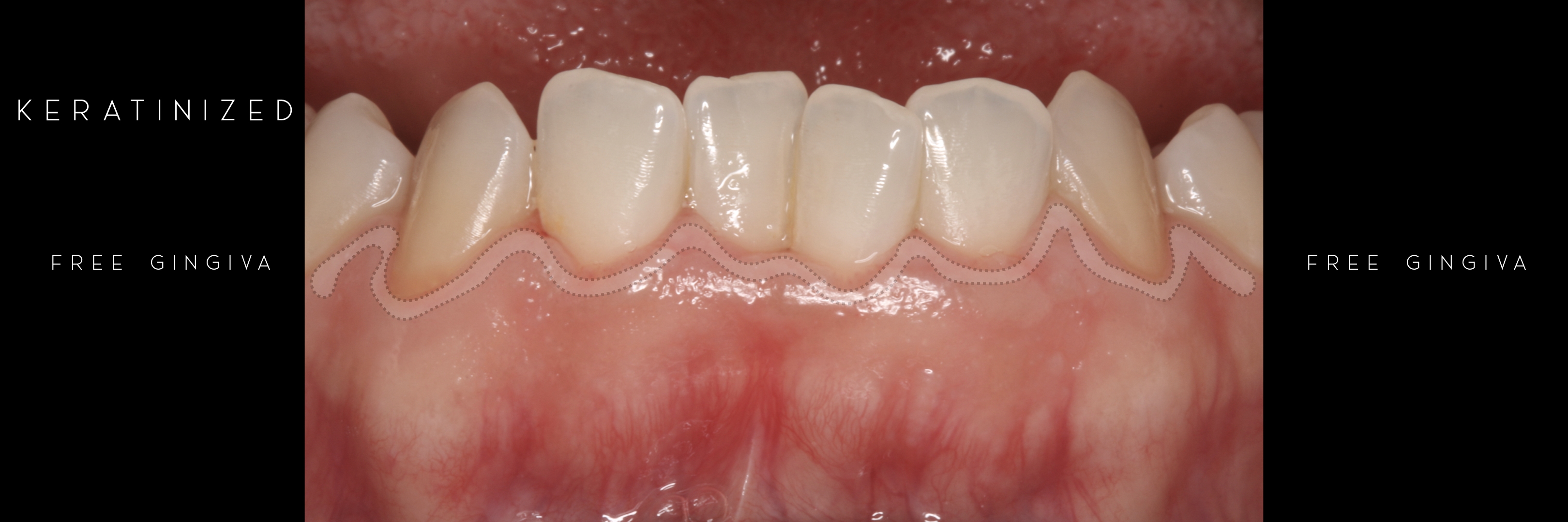
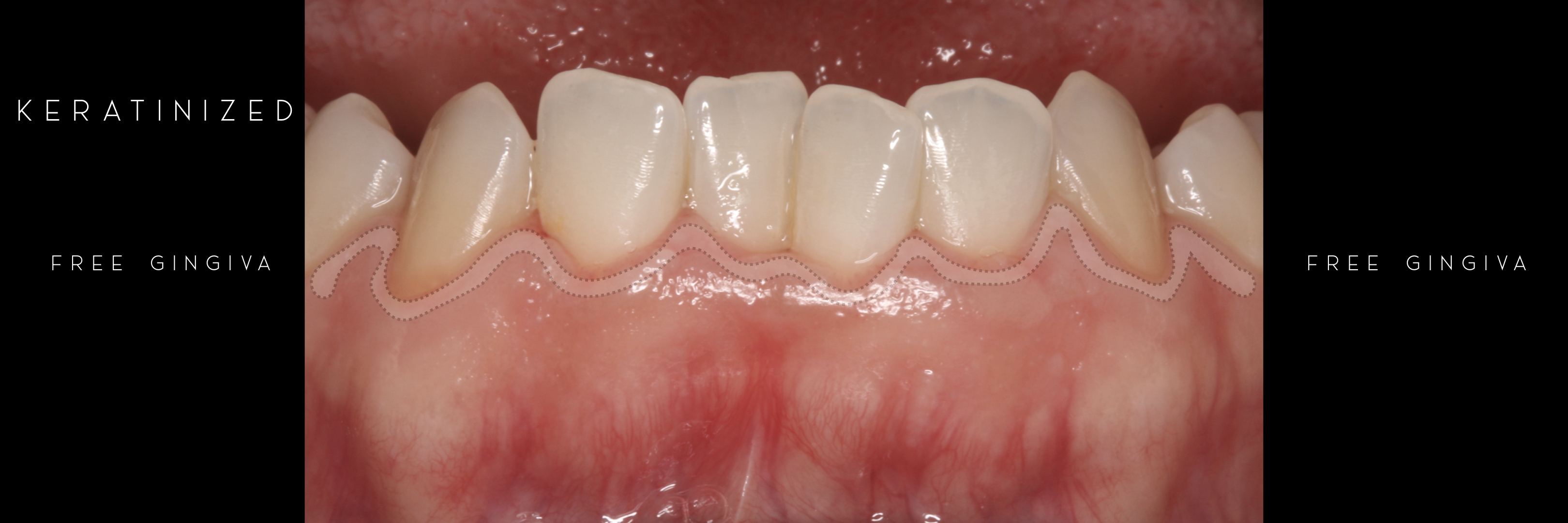
    keratinized 3 free gingiva marginal.jpeg
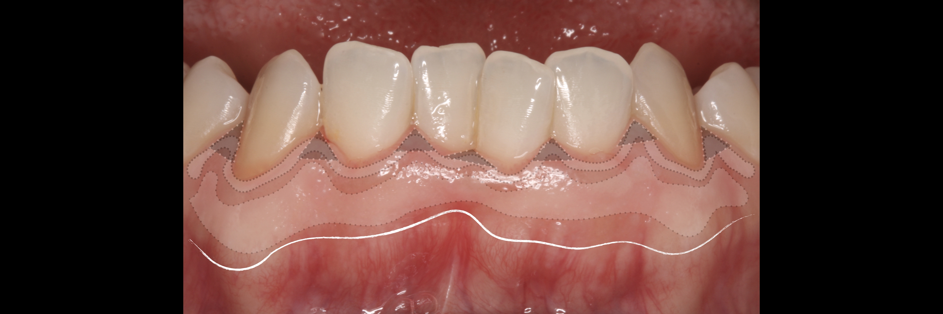
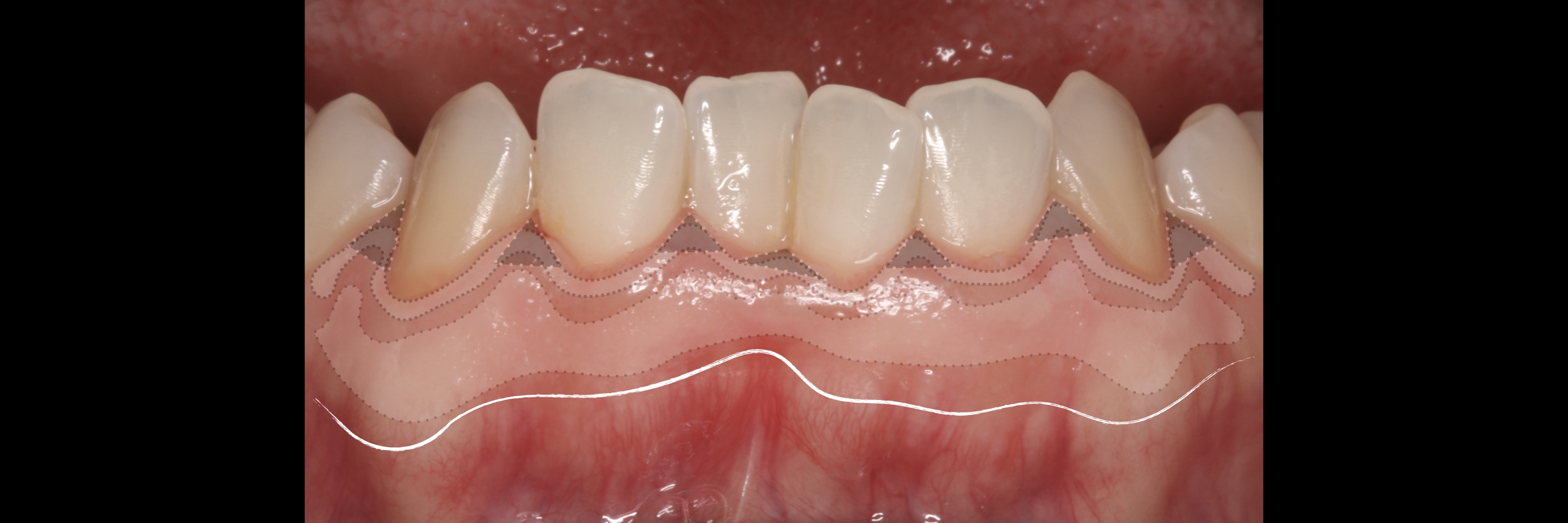
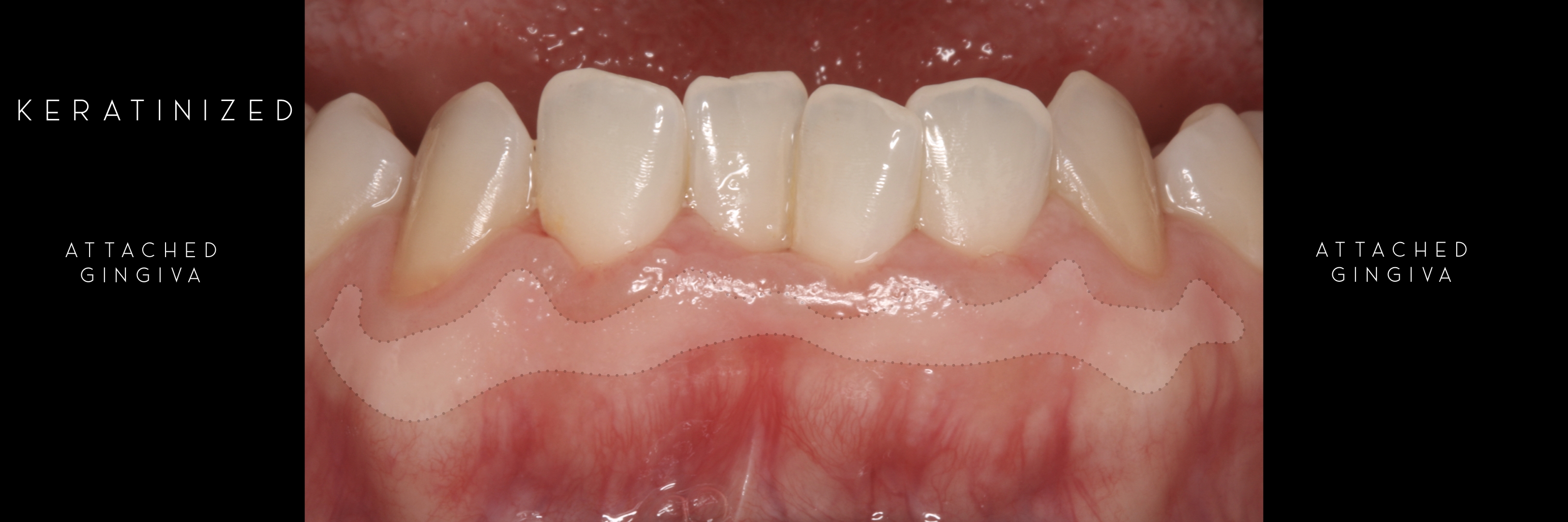
    keratinized 4 attached gingiva .jpeg
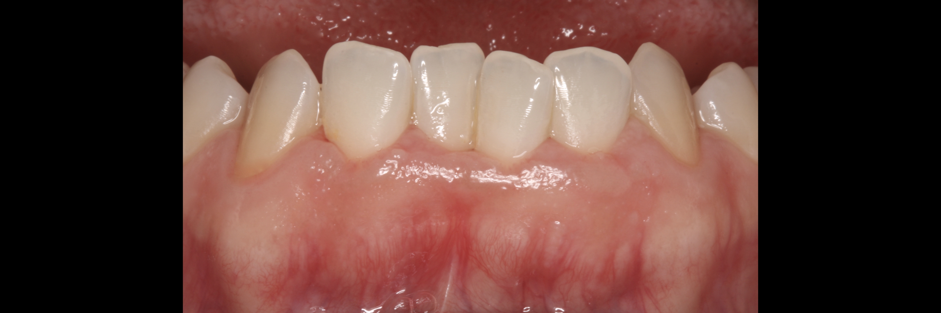
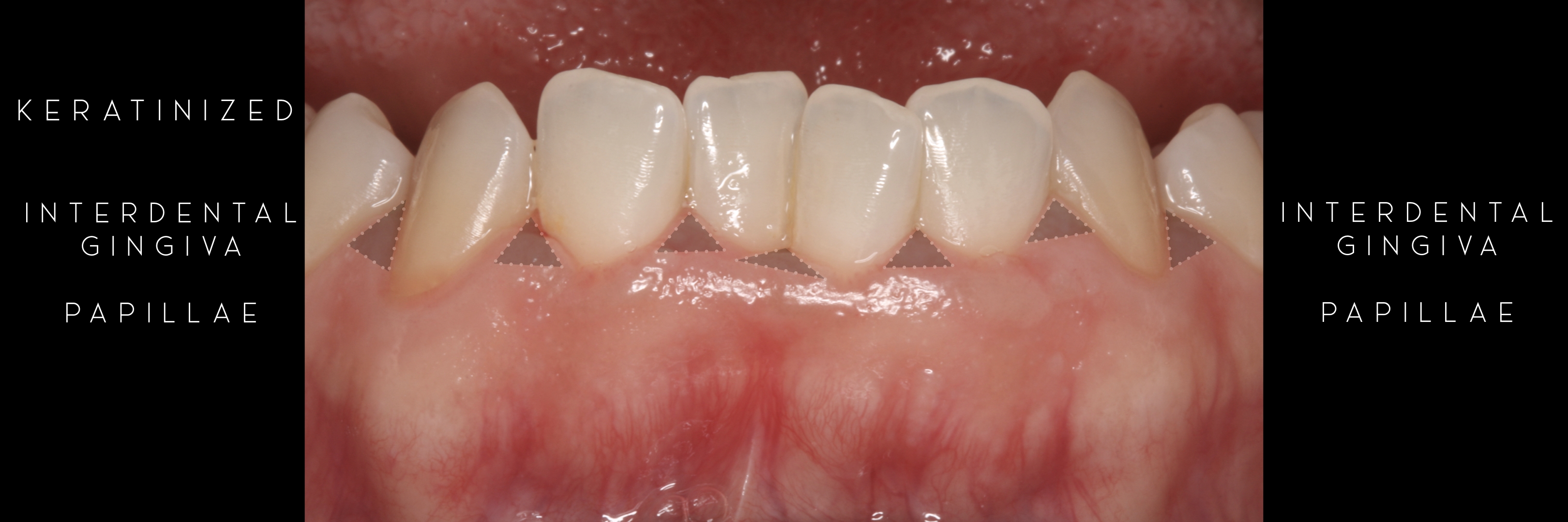
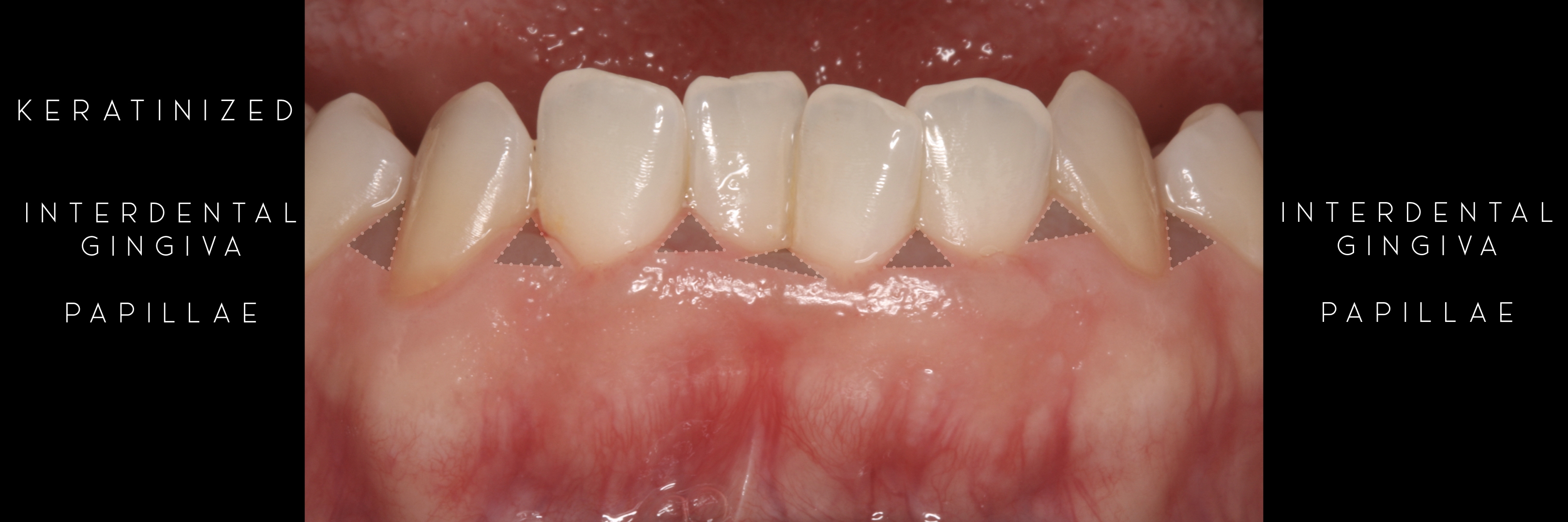
    keratinized 5 interdental gingiva .jpeg
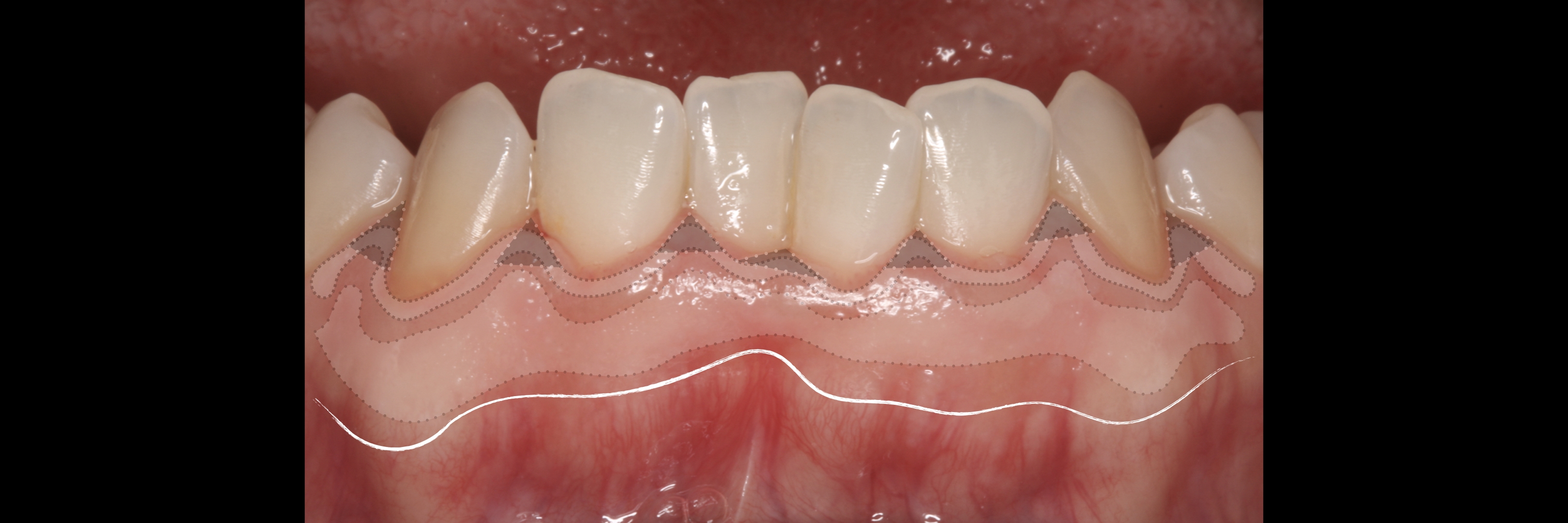
    keratinized 6 gingiva ALL .jpeg
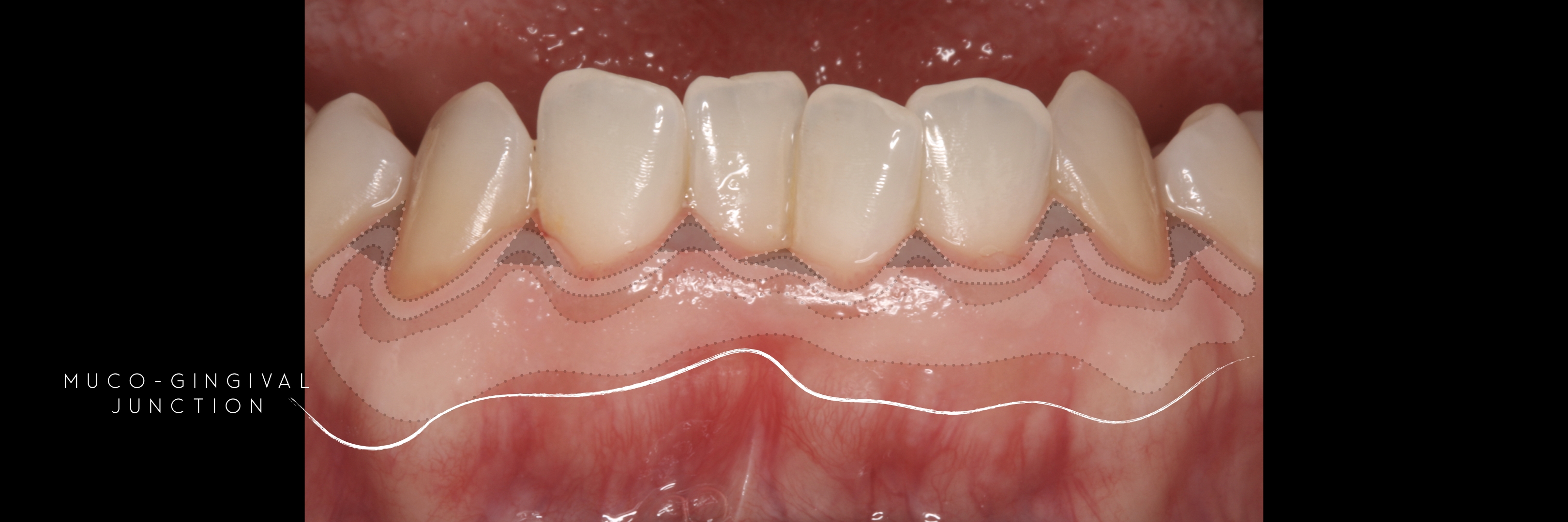
    keratinized 7 gingiva ALL MGJ.jpeg
    NON keratinized 8 ALVEOLAR MUCOSA.jpeg
  2. Basic Anatomy

     

    Alveolar Mucosa

     

    Not Keratinized Gingiva              _________________

     

    Attached Gingiva, Marginal Gingiva,

    Interdental Gingiva

     

    Keratinized Gingiva

    In humans

    KERATINIZED gingiva includes

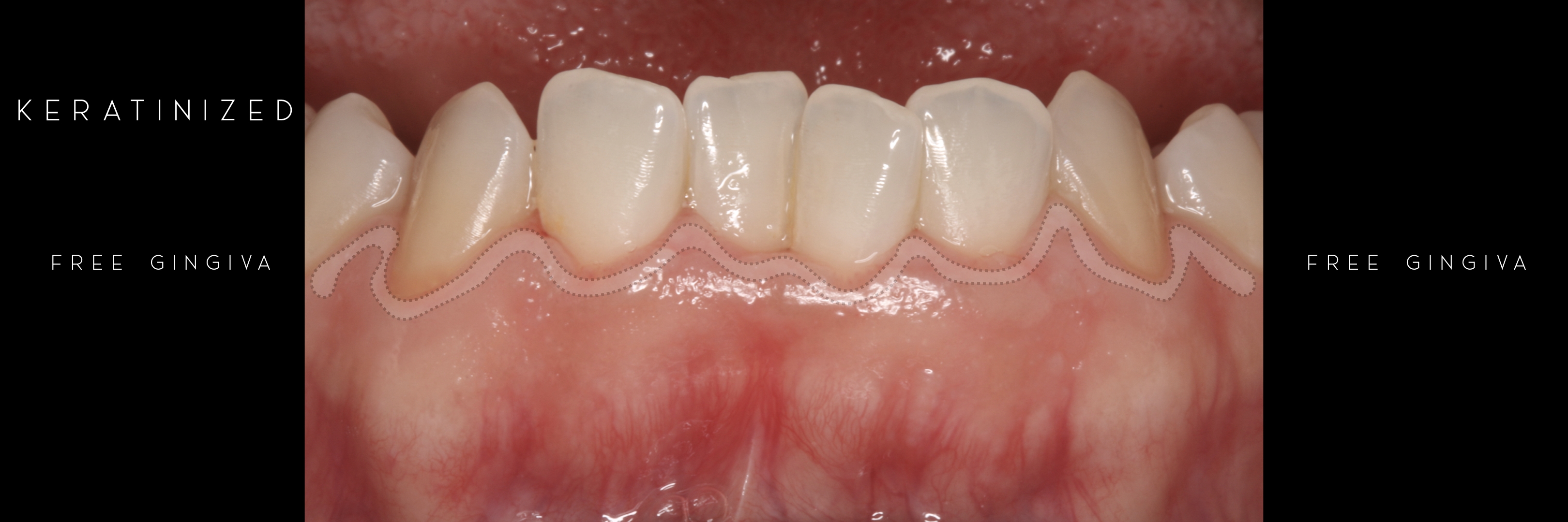
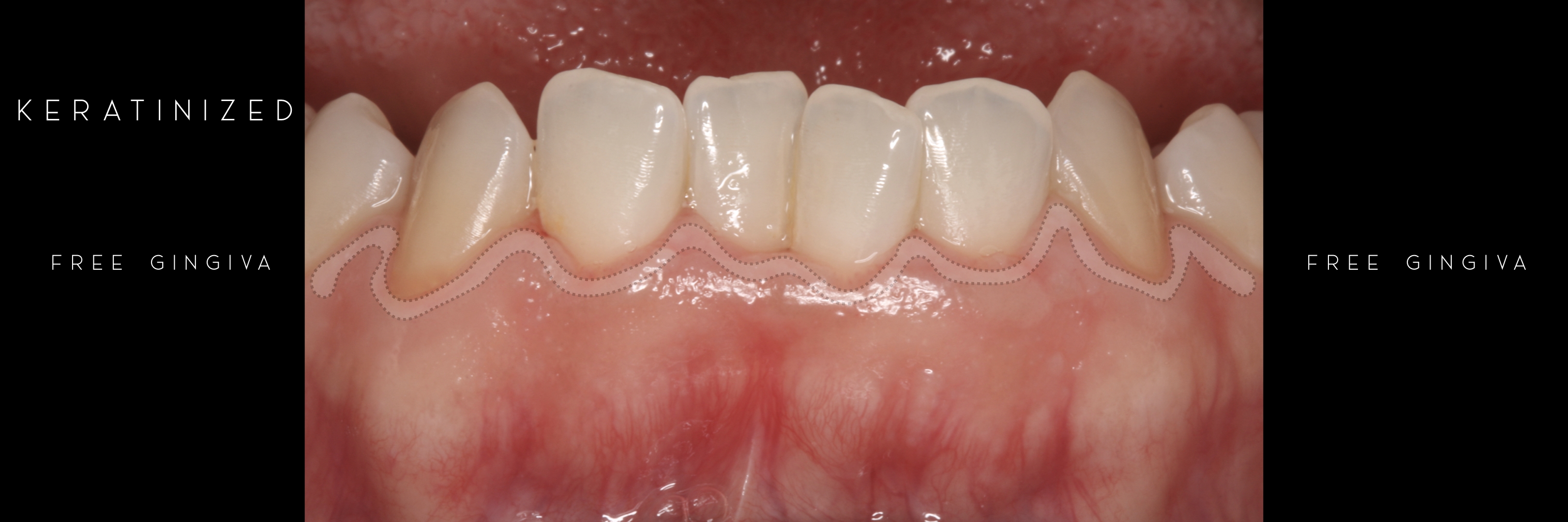
    the free gingiva 

    (marginal gingiva & papillae) 

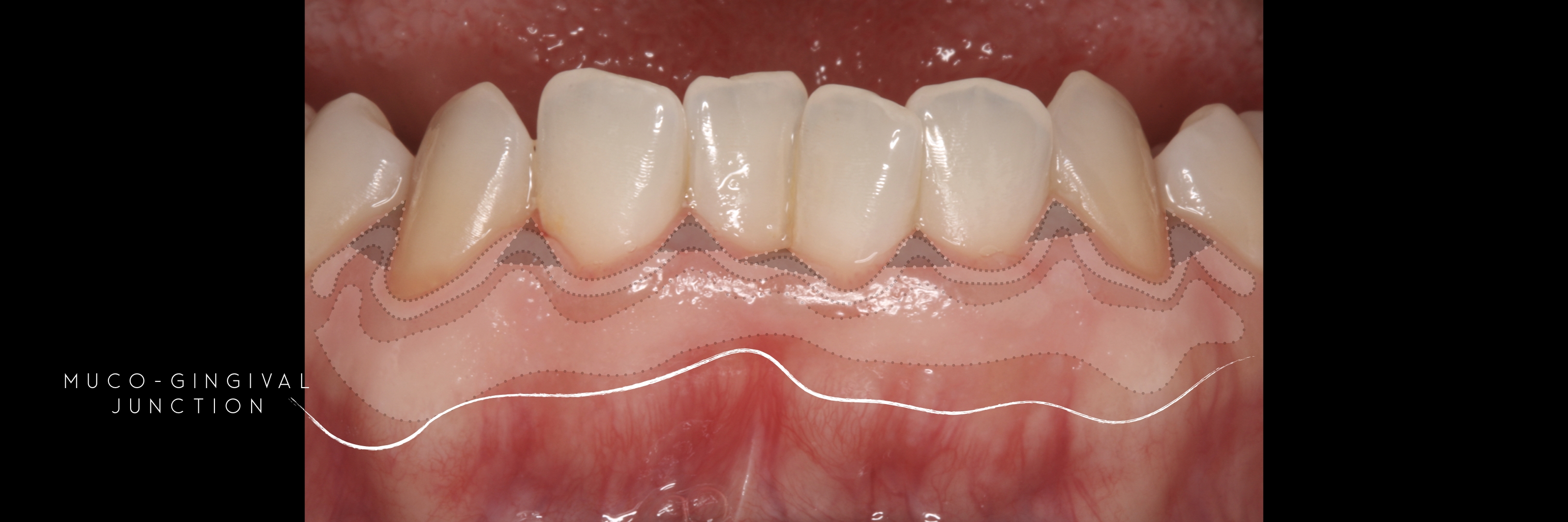
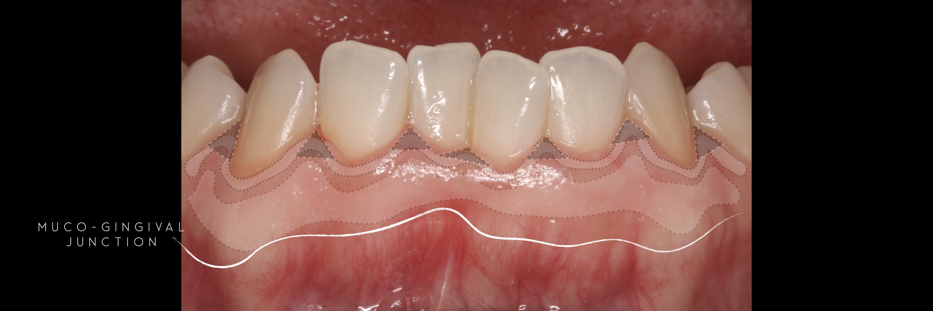
    and the attached gingiva extending from the gingival mar­gin to the mucogingival junction. 

     

    Orban, B.: Clinical and histologic study of the sur­face characteristics of the gingiva. Oral Surg. 7:827-841, 1948.

     

     

    Also keratinized is the hard palate mucosa.

     

    Generally we tend to forget about these 2 parameters, free and the attached gingiva are both essential parts of the keratinized gingiva.

     

    This meaning that keratinized (load bearing capacity) is a mechanical characteristic that makes up for attached gingiva, providing it's immobility,  but also is of such importance as the thickness it provides around whatever perforates the epithelium, be it implants or teeth, being also keratinized (having load bearing capacity) at this location.

     

    However free marginal gingiva is different in characteristics on its outer and inner surfaces: outer surface is keratinized; 

    inner surface is

    non-keratinized, constituting part of the gingival sulcus.

     

     

     

    The width of the keratinized gingiva may vary between 1 and 9mm.

     

    Bowers, G.: A study of the width of attached gin­ giva. J. Periodont. 54:201-209, 1963.

    Ainamo, J. and Löe, H : Anatomical characteristics of gingiva. A clinical and microscopic study of the free and attached gingiva. J. Periodont. 57:5-13, 1966.

     

     

     

    However, the question of how much gingiva is "adequate" has still not been investigated. 

     

    There was no answer at the time of Lang and Löe's paper -1972 - and still nowadays we still lack a final answer, but attached gingiva plays a major role on stable soft tissues around teeth and implants.