CPMD Centro Português de Medicina Dentária |Smile@Life | A book for You & Your Smile
CPMD Centro Português de Medicina Dentária CPMD Centro de Medicina Dentária de Braga
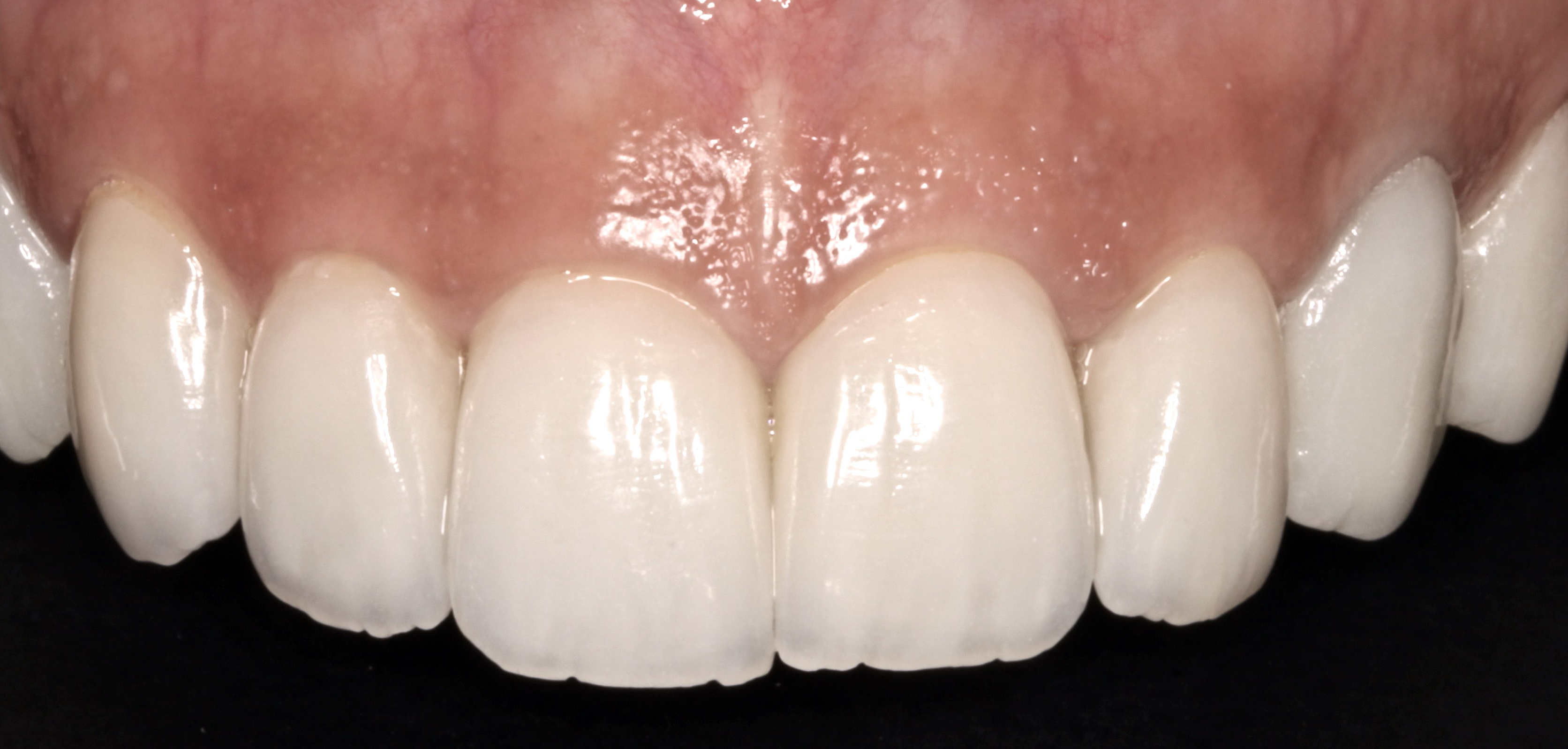
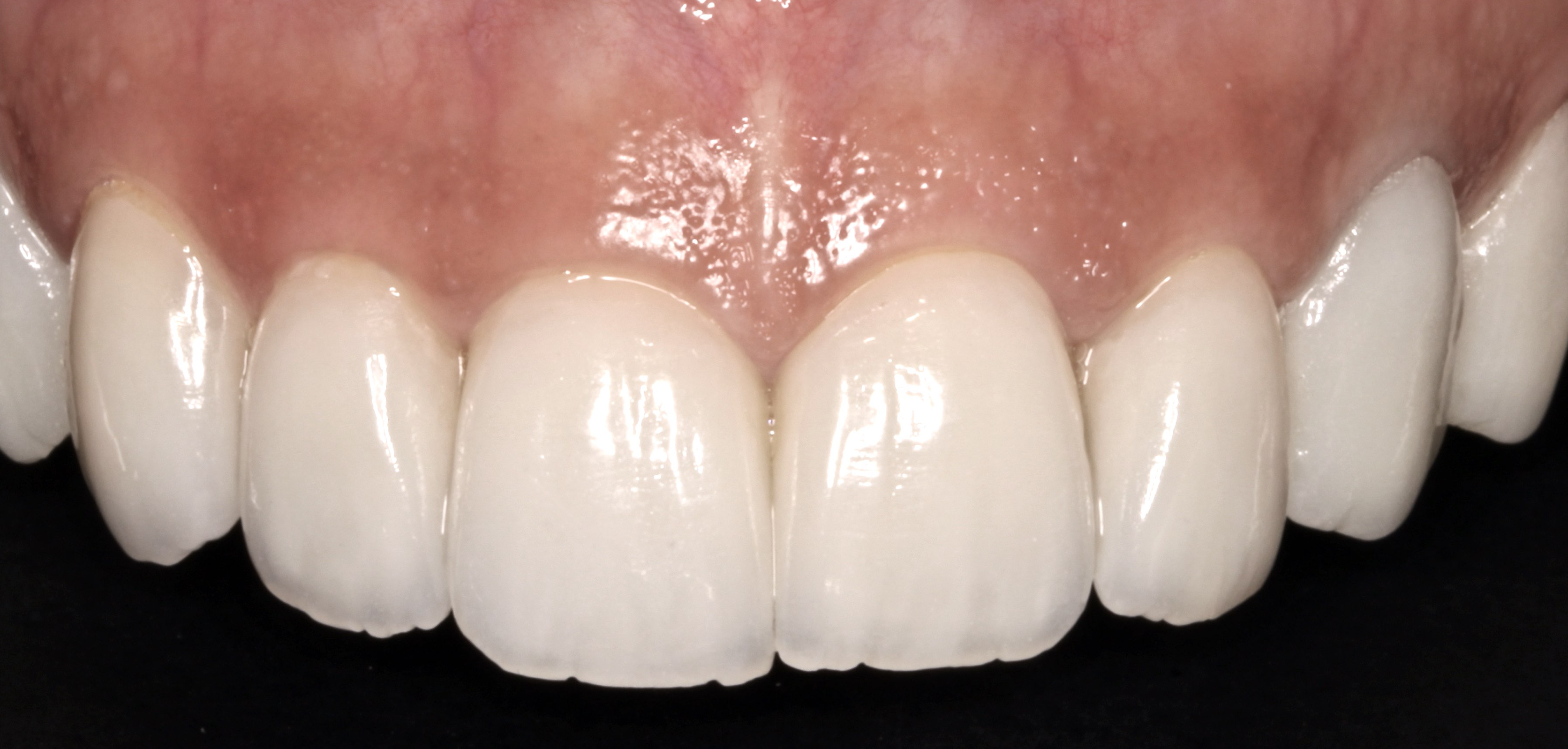
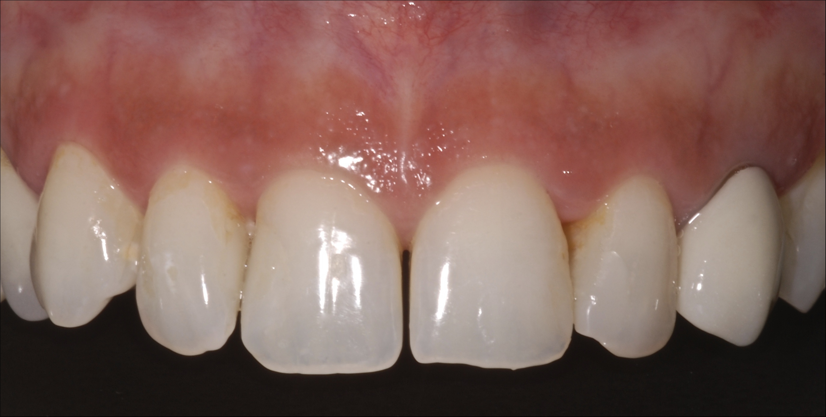
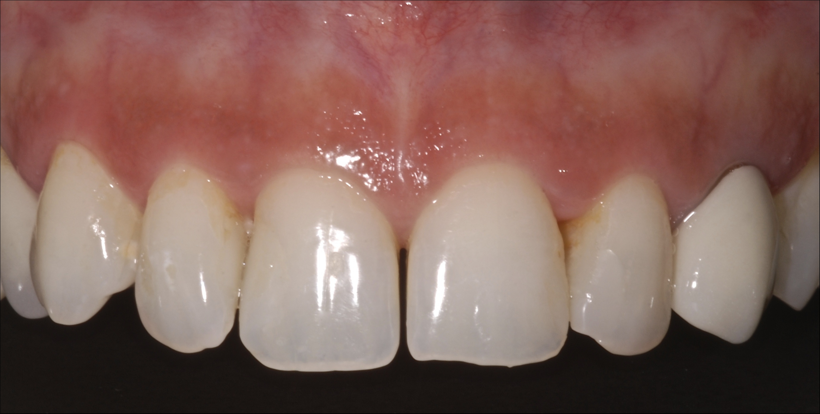
  1. MargaridaMendes 17022009 (8).jpg
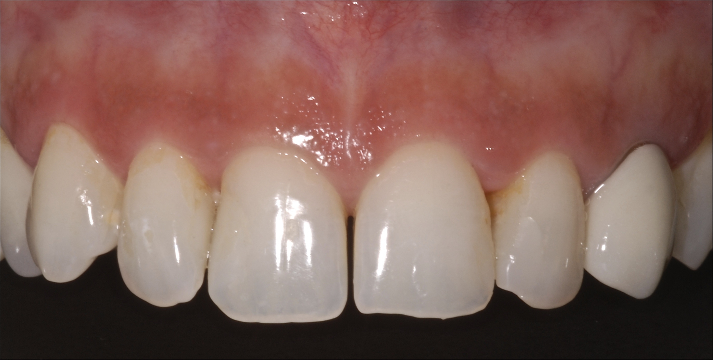
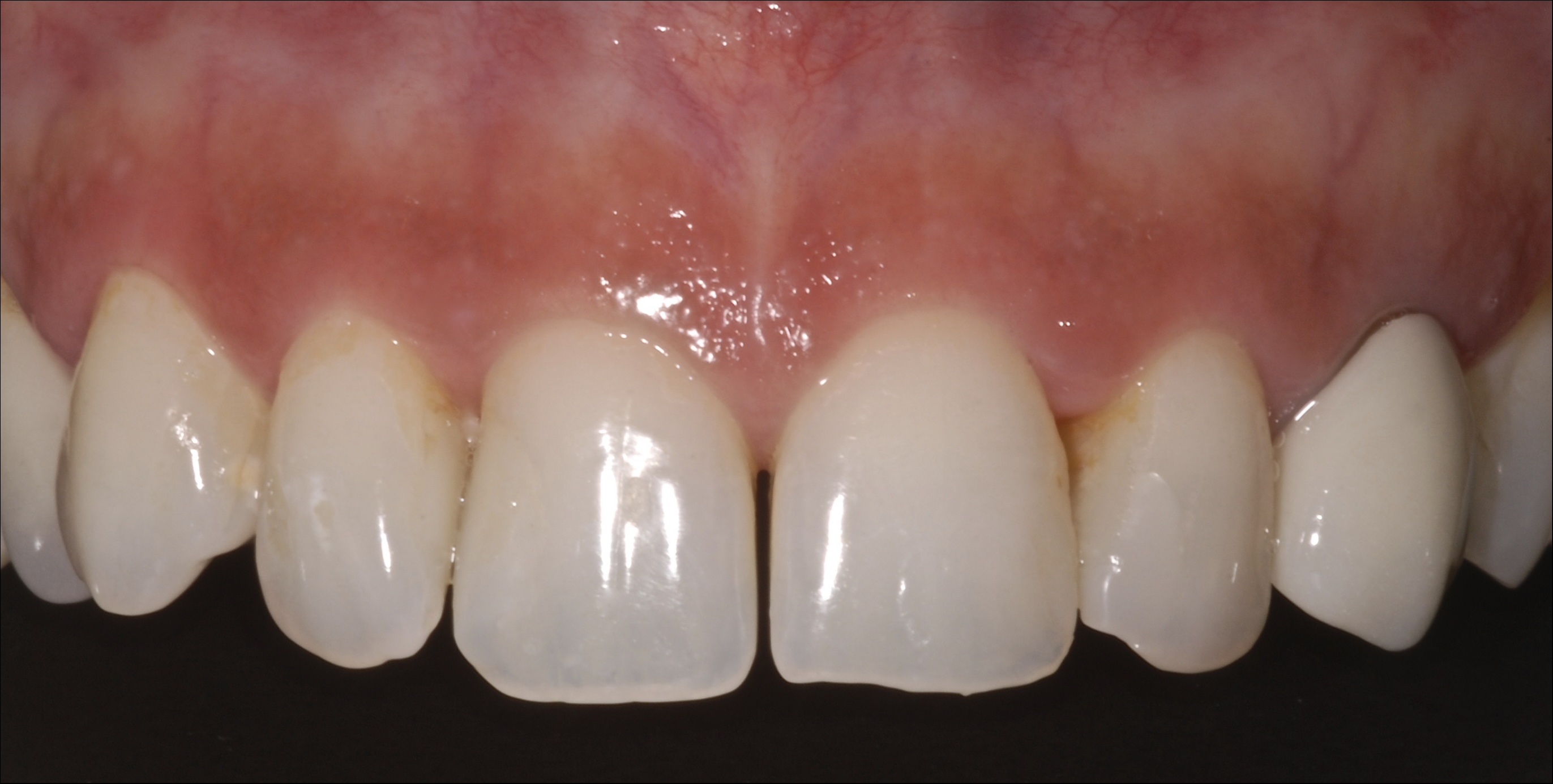
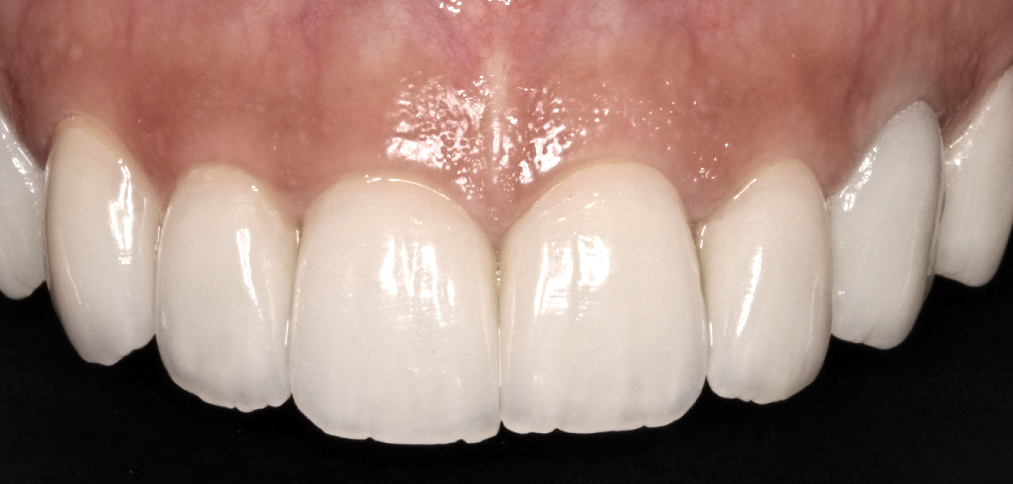
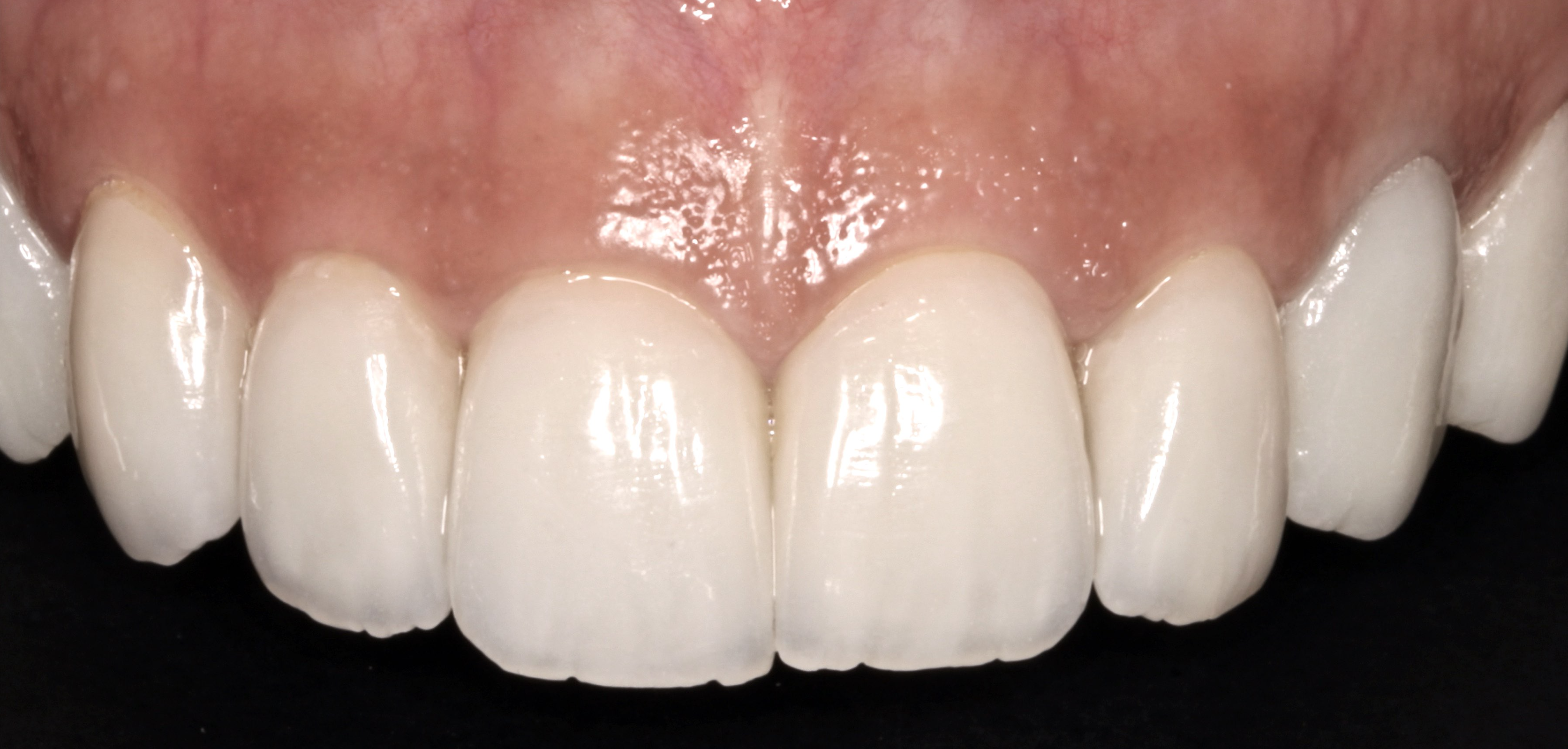
  2. Screen Shot 2021-06-10 at 08.36.12.png