CPMD Centro Português de Medicina Dentária |Smile@Life | A book for You & Your Smile
CPMD Centro Português de Medicina Dentária CPMD Centro de Medicina Dentária de Braga
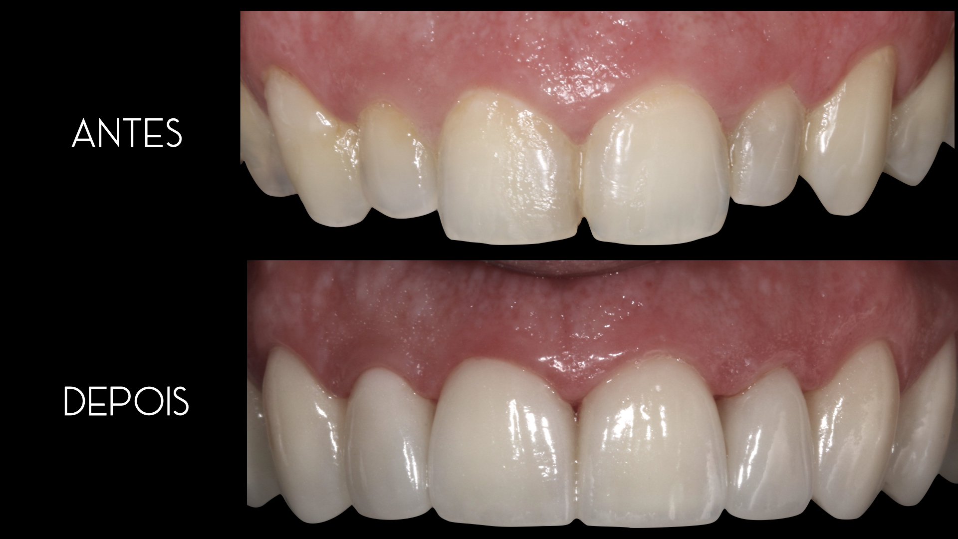
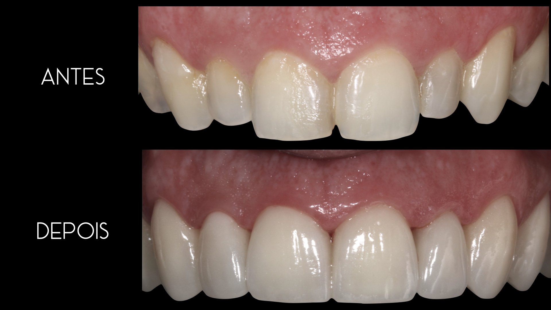
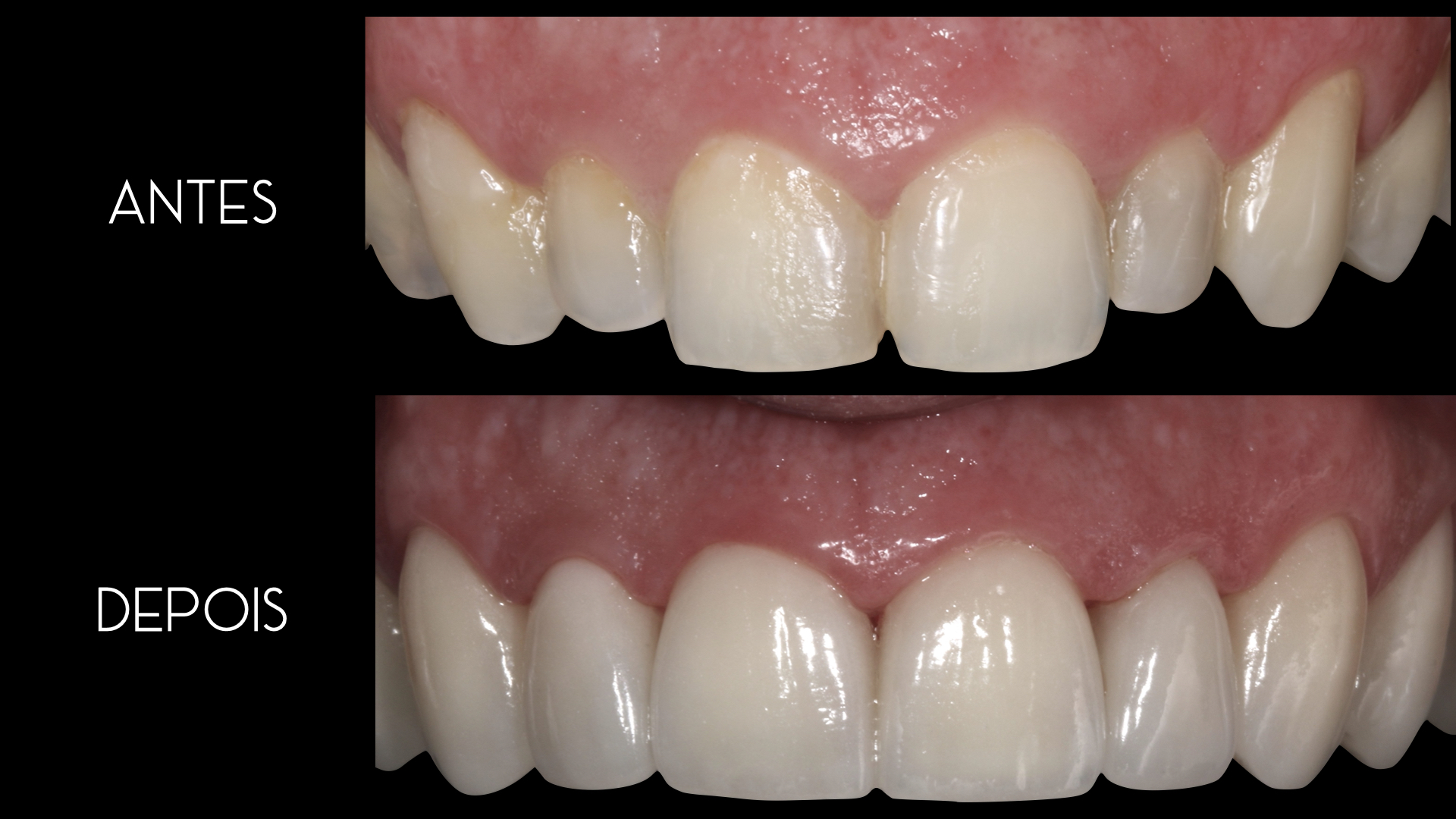
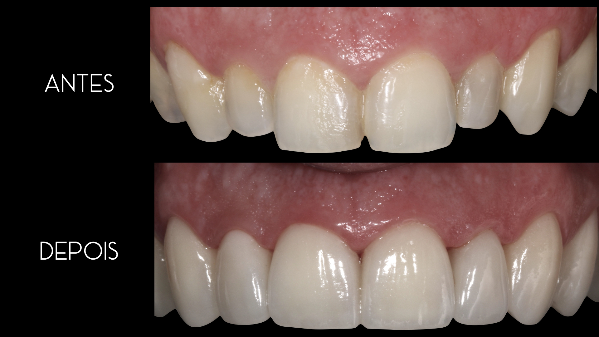
  1. Alexandre Paulo Lopes antes depois.001.jpeg