Index
Cover
Page 1
BIG THANK YOU TO OUR PATIENTS
Chapter 1
TESTEMUNHOS DE PACIENTES | PATIENTS' TESTIMONIES
Page 2
Facetas | testemunho do paciente
Page 3
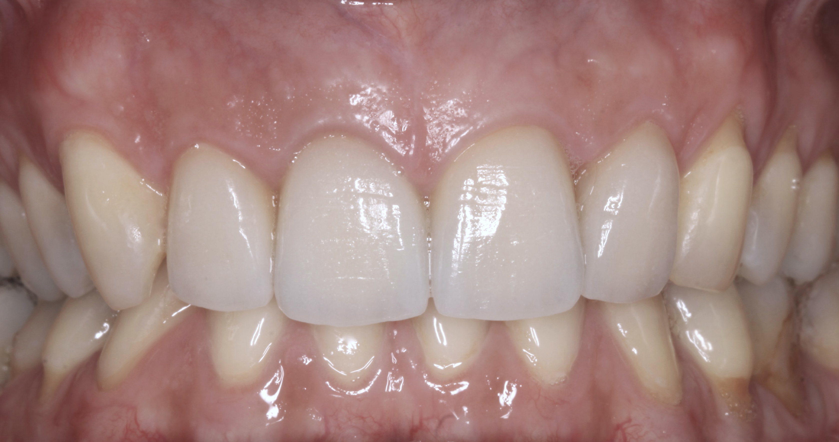
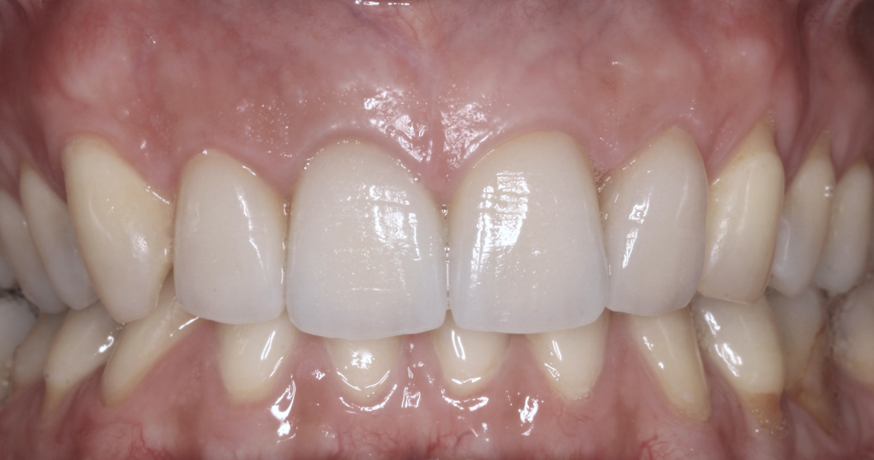
Facetas em cerâmica do paciente anterior
Page 4
Veneers | patient's testimony
Page 5
Ceramic veneers of the previous patient
Page 6
COLOCAÇÃO DE IMPLANTES COM DENTES DEFINITIVOS EM CERÂMICA, IMEDIATAMENTE APÓS A CIRURGIA | SEM NECESSIDADE DE USAR PROVISÓRIOS
Page 7
SEM NECESSIDADE DE PROVISÓRIOS DURANTE MESES:| vídeo de colocação dos DENTES DEFINITIVOS EM CERÂMICA DE IMEDIATO
Page 8
Implantes | DENTES DEFINITIVOS EM CERÂMICA NO MESMO DIA ONE | testemunho da paciente
Page 9
Implants | FINAL CERAMIC TEETH ON THE SAME DAY ONE | pacient's testimony 1
Page 10
Implantes | Dentes definitivos no mesmo dia ONE | ARTIGO ORIGINAL DO DR FILIPE LOPES
Page 11
Implantes | Dentes definitivos no mesmo dia ONE | 2º testemunho | testimony 2
Page 12
Implantes e dentes, no mesmo dia
Page 13
Testemunho de paciente 9 anos depois: Implantes e dentes, no mesmo dia
Chapter 2
SORRISO DA CAPA | Dá Vida ao Teu Sorriso | Boost Your Smile
Page 14
Situação inicial | Sorriso e dentição | Mulher bonita e um sorriso com um potencial incrível
Page 15
Antes e depois - dentição | Before and after - dentition
Page 16
Antes e depois - sorriso | Before and after - smile
Page 17
Depois | Sorriso | After | Smile
Page 18
Depois | Sorriso | After | Smile
Page 19
Situação inicial vs. situação final | Dentição | Initial situation vs final situation | Dentition
Page 20
Impacto Facial do Sorriso | Facial Impact of Smile
Page 21
Sorriso Final | Final Smile
Page 22
Sorriso final | Final Smile | Always smile@life & be happy
Chapter 3
SORRISOS DAS CAPAS DO NOSSO LIVRO
Page 23
Sorriso da 1ª Capa
Chapter 4
ESTÉTICA FACIAL & BOTOX | Dra. Juliana Losacco
Page 24
Chapter 5
Como é que é possível sorrir assim? How is it possible to smile?
Page 25
Smile??????? How is it possible to do it?
Page 26
Como é que é possível sorrir? (antes da intervenção da Dra Ana Araújo) | How is it possible to smile?
Page 27
Restaurações estéticas em compósito | Dra Ana Araújo
Chapter 6
FACETAS EM CERÂMICA PURA | LENTE DE CONTACTO | VENEER | LAMINEER | Aspeto Natural | Natural Look
Page 28
FACETAS EM CERÂMICA | EM VEZ DE ORTODONTIA? | EM VEZ DE USAR APARELHO? SIM, EM MUITOS CASOS É POSSÍVEL E É INCRÍVEL!
Page 29
Facetas em cerâmica em vez de aparelho? É possível? Em muitos casos sim.
Page 30
Aparelho ou Facetas em Cerâmica?
Page 31
Always smile@life & be happy | No braces
Page 32
FRATURAS DENTÁRIAS | FACETAS EM CERÂMICA PURA | LENTES DE CONTACTO | SEM DESGASTE DOS DENTES
Page 33
Fraturas dentárias | Lamineers, facetas cerâmicas
Page 34
Facetas cerâmicas (lamineers) para tratamento de fraturas dentárias
Page 35
Fraturas Dentárias Facetas em cerâmica pura Lentes de Contacto | PT VIDEO
Page 36
Fraturas Dentárias Facetas em cerâmica pura Lentes de Contacto | ENG VIDEO
Chapter 7
Facetas em cerâmica | Lamineers | Veneers | Sem fazer desgaste dos dentes do paciente | INCISIVOS INFERIORES
Page 37
Paciente com os dentes desgastados, com pequenas fraturas e micro-fraturas | Facetas cerâmicas | INCISIVOS INFERIORES
Chapter 8
Facetas (lentes de contacto)- Desgaste
Page 38
dentes espaçados FACETAS Lentes de Contacto Lamineers
Page 39
Paulo Lopes FACETAS Lentes de Contacto Lamineers
Chapter 9
Fenda palatina - Lábio leporino | Smile Design em casos muito graves
Page 40
Final a sorrir - fenda palatina
Chapter 10
ORTODONTIA | ORTHODONTICS - DAMON | Aparelhos Ortodônticos
Page 41
Sorrir depois de tratamento DAMON | Smiling after DAMON braces
Page 42
Sorrir depois de tratamento DAMON | Smiling after DAMON braces
Page 43
Diferença brackets metálicos vs brackets transparentes DAMON CLEAR brackets transparentes
Page 44
DAMON CLEAR brackets transparentes
Page 45
DAMON Tratamento ortodôntico, dentes inclusos | Orthodontic treatment, impacted teeth
Chapter 11
PROBLEMAS EM IMPLANTES | IMPLANT´S FAILURE
Page 46
Resolver problemas de implantes (RETRAÇÕES GRAVES) |Solving implant's problems (SEVERE RECSSIONS)
Page 47
PUBLICAÇÕES DO DR FILIPE LOPES NA TÉCNICA SOFT BLOCK | DR FILIPE LOPES' PUBLICATIONS ON SOFT BLOCK TECHNIQUE
Chapter 12
IMPLANTAÇÃO DE TODOS OS DENTES NO MESMO DIA
Page 48
CASOS GRAVES | Substituição total da dentição por implantes, no mesmo dia
Chapter 13
DIGITAL DENTISTRY
Page 49
Chapter 14
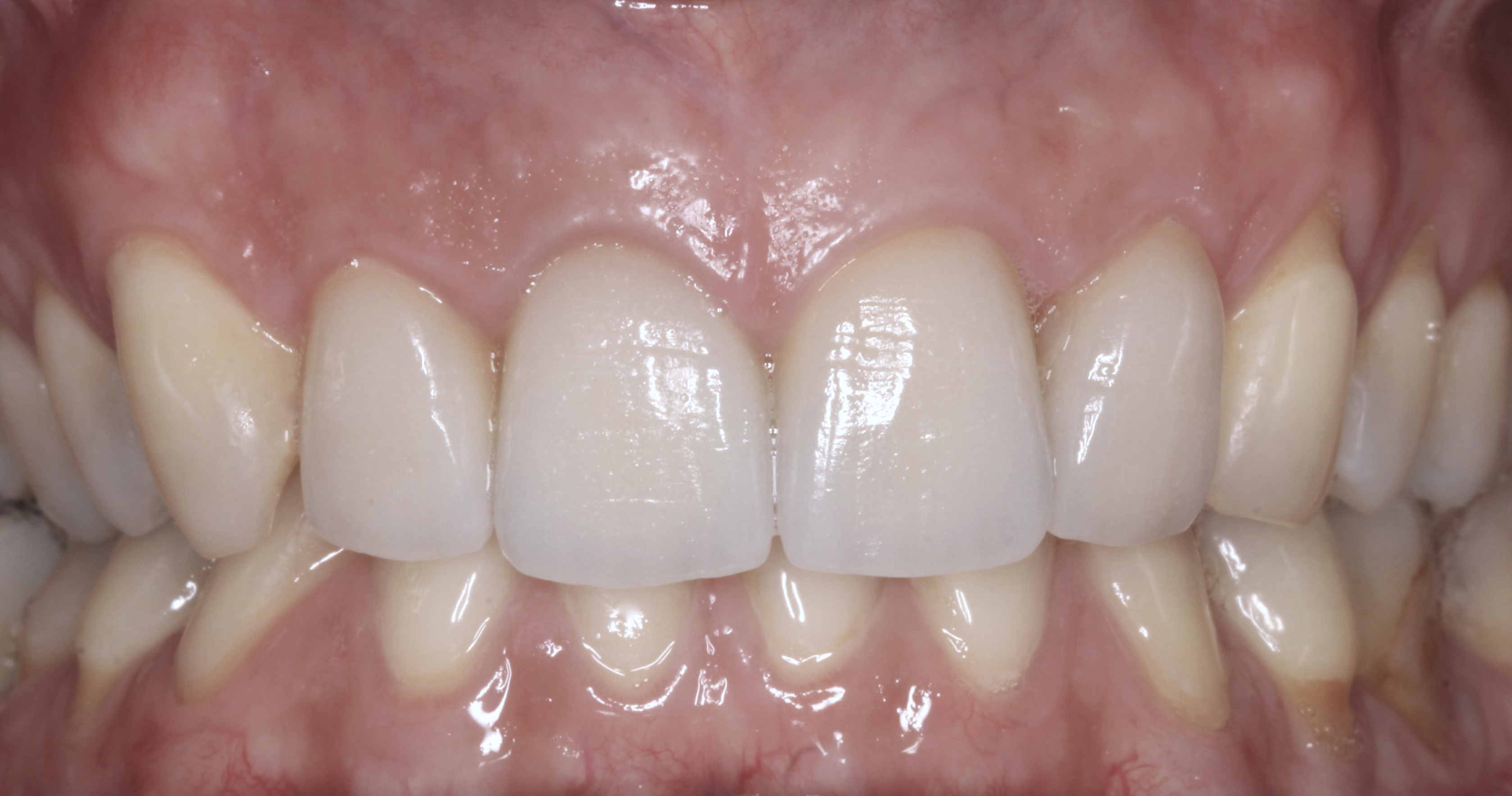
COROAS EM CERÂMICA PURA
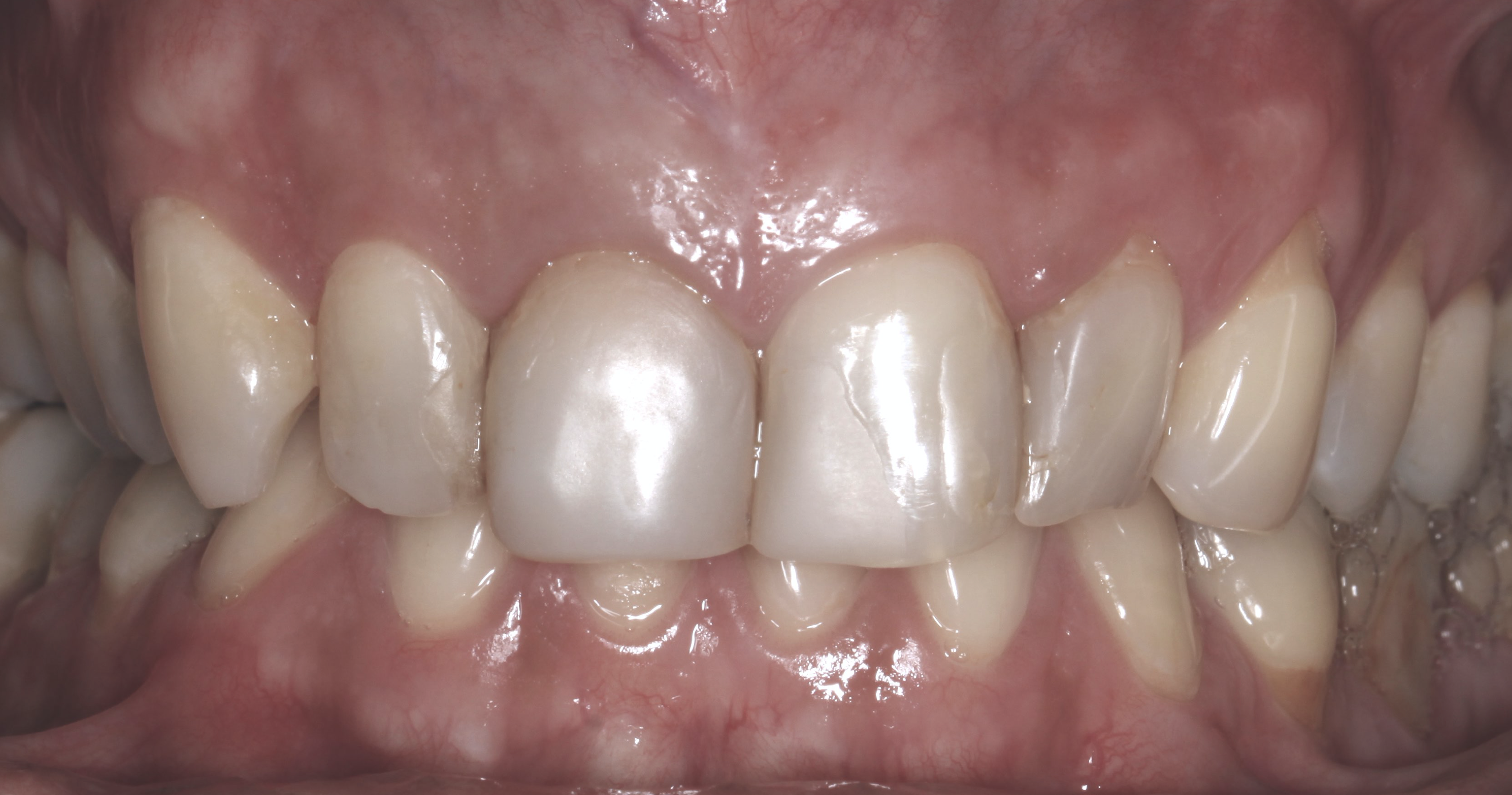
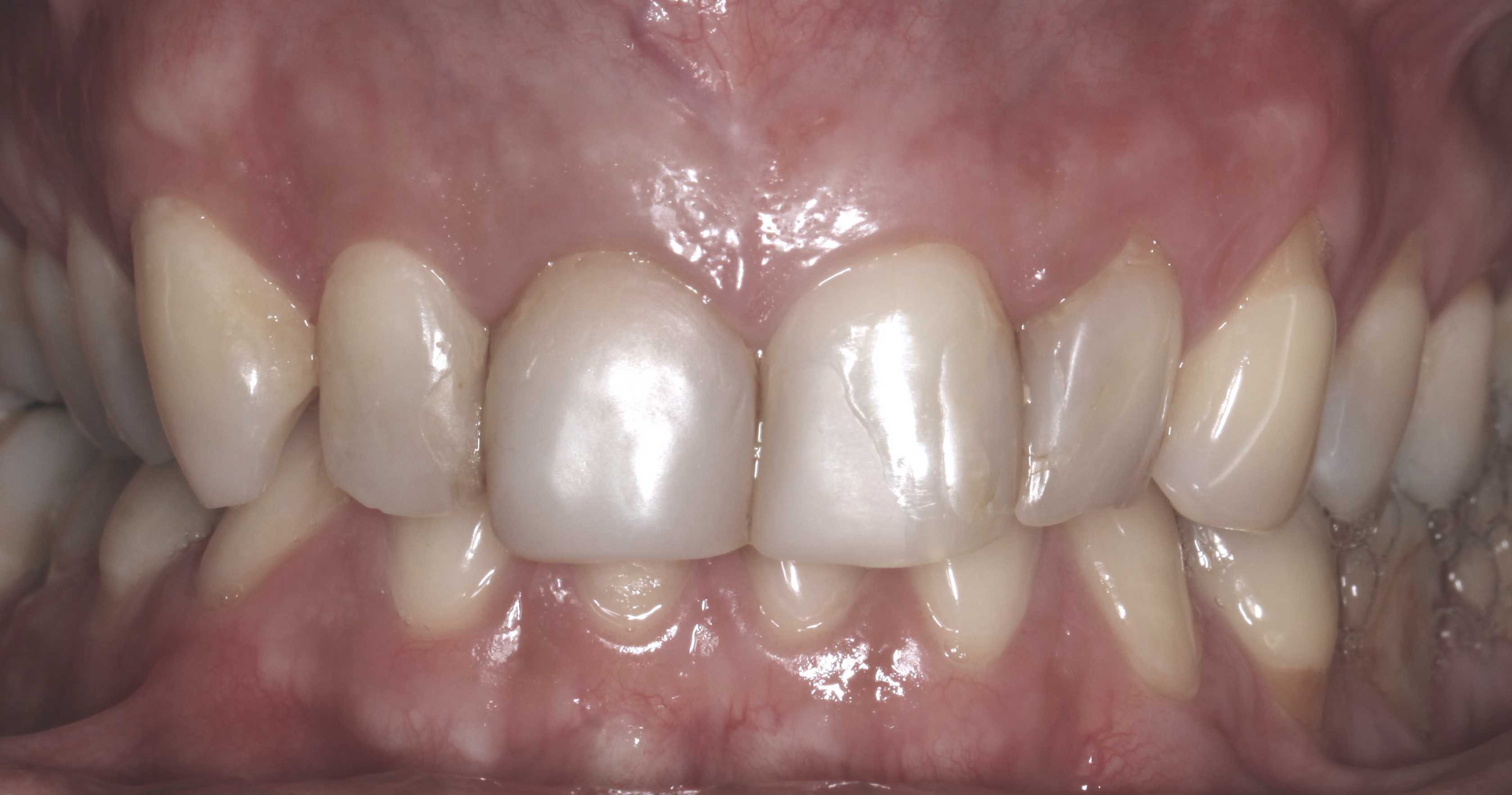
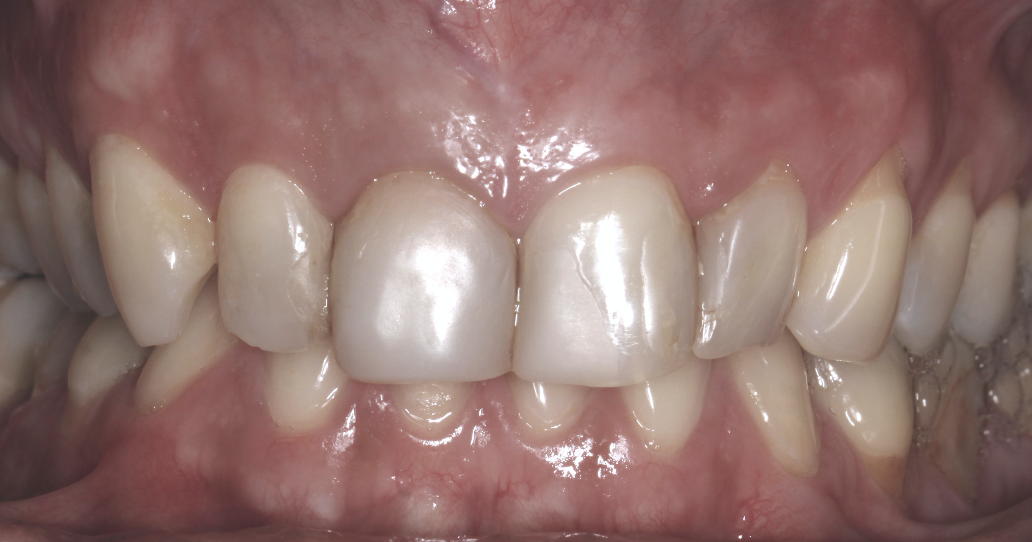
Page 50
Dentes muito restaurados e com problema estético | Heavily restored teeth with esthetic impact
Page 51
Chapter 15
COROAS CERÂMICAS SEMPRE A DESCOLAR? Raizes fraturadas substituídas por implantes
Page 52
Raizes fraturadas
Page 53
Ponte fixa sempre a descolar, raizes fraturadas
Page 54
Raizes fraturadas substituídas por implantes e com coroas cerâmicas no mesmo dia
Chapter 16
Problemas em implantes | Implant's Failure | FACE
Page 55
Problemas em implantes Implant's failure Problemas de equilíbrio facial No facial balance
CPMD Centro Português de Medicina Dentária |Smile@Life | A book for You & Your Smile
CPMD Centro Português de Medicina Dentária CPMD Centro de Medicina Dentária de Braga
Notes
Without Registered Notes
Title
Note
Index
Page
/
55